Li Kang-Yu, Ye Jie-Ting, Yang Jing, Shao Jia-Qi, Jin Wei-Ping, Zheng Chang, Wan Chu-Yun, Peng Deng-Feng, Deng Qian-Chun
Key Laboratory of Oilseeds Processing, Ministry of Agriculture, Oil Crops Research Institute, Chinese Academy of Agricultural Sciences, Wuhan 430062, China.
College of Food Science and Engineering, Wuhan Polytechnic University, Wuhan 430023, China.
Foods. 2023 Mar 16;12(6):1256. doi: 10.3390/foods12061256.
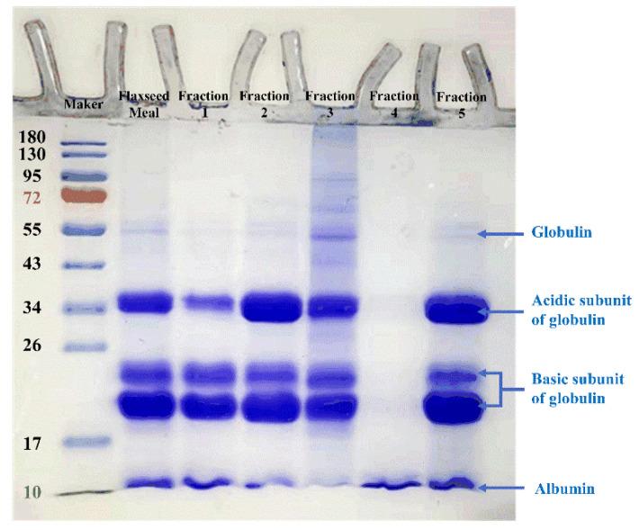
A new focus with respect to the extraction of plant protein is that ingredient enrichment should target functionality instead of pursuing purity. Herein, the sequence aqueous extraction method was used to co-enrich five protein-polysaccharide natural fractions from flaxseed meal, and their composition, structure, and functional properties were investigated. The total recovery rate of flaxseed protein obtained by the sequence extraction approach was more than 80%, which was far higher than the existing reports. The defatted flaxseed meal was soaked by deionized water to obtain fraction 1 (supernatant), and the residue was further treated to get fraction 2 (supernatant) and 3 (precipitate) through weak alkali solubilization. Part of the fraction 2 was taken out, followed by adjusting its pH to 4.2. After centrifuging, the albumin-rich supernatant and precipitate with protein content of 73.05% were gained and labeled as fraction 4 and fraction 5. The solubility of fraction 2 and 4 exceeded 90%, and the foaming ability and stability of fraction 5 were 12.76 times and 9.89 times higher than commercial flaxseed protein, respectively. The emulsifying properties of fractions 1, 2, and 5 were all greater than that of commercial sodium caseinate, implying that these fractions could be utilized as high-efficiency emulsifiers. Cryo-SEM results showed that polysaccharides in fractions were beneficial to the formation of network structure and induced the formation of tighter and smoother interfacial layers, which could prevent emulsion flocculation, disproportionation, and coalescence. This study provides a reference to promote the high-value utilization of flaxseed meals.
关于植物蛋白提取的一个新重点是,成分富集应着眼于功能而非追求纯度。在此,采用顺序水提法从亚麻籽粕中共富集了五种蛋白质 - 多糖天然组分,并对其组成、结构和功能特性进行了研究。通过顺序提取法获得的亚麻籽蛋白总回收率超过80%,远高于现有报道。将脱脂亚麻籽粕用去离子水浸泡得到组分1(上清液),残渣经弱碱溶解进一步处理得到组分2(上清液)和组分3(沉淀)。取出部分组分2,将其pH值调至4.2。离心后,得到富含白蛋白的上清液和蛋白质含量为73.05%的沉淀,分别标记为组分4和组分5。组分2和组分4的溶解度超过90%,组分5的发泡能力和稳定性分别比市售亚麻籽蛋白高12.76倍和9.89倍。组分1、2和5的乳化性能均大于市售酪蛋白酸钠,这意味着这些组分可作为高效乳化剂使用。冷冻扫描电镜结果表明,各组分中的多糖有利于网络结构的形成,并诱导形成更紧密、更光滑的界面层,从而防止乳液絮凝、歧化和聚结。本研究为促进亚麻籽粕的高值化利用提供了参考。