Suppr超能文献

亚实性肺结节临床处理方法的叙述性综述

A narrative review of the clinical approach to subsolid pulmonary nodules.

作者信息

Kim Bo-Guen, Um Sang-Won

机构信息

Division of Pulmonary and Critical Care Medicine, Department of Medicine, Samsung Medical Center, Sungkyunkwan University School of Medicine, Seoul, Republic of Korea.

Department of Health Sciences and Technology, SAIHST, Sungkyunkwan University, Seoul, Republic of Korea.

出版信息

Ann Transl Med. 2023 Mar 15;11(5):217. doi: 10.21037/atm-22-5246. Epub 2023 Mar 10.

Abstract

BACKGROUND AND OBJECTIVE

The widespread use of chest computed tomography (CT) for lung cancer screening has led to increased detection of subsolid pulmonary nodules. The management of subsolid nodules (SSNs) is challenging since they are likely to grow slowly and a long-term follow-up is needed. In this review, we discuss the characteristics, natural history, genetic features, surveillance, and management of SSNs.

METHODS

PubMed and Google Scholar were searched to identify relevant articles published in English between January 1998 and December 2022 using the following keywords: "subsolid nodule", "ground-glass nodule (GGN)", and "part-solid nodule (PSN)".

KEY CONTENT AND FINDINGS

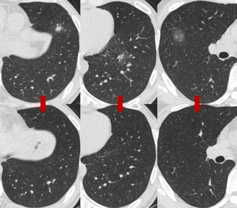
The differential diagnosis of SSNs includes transient inflammatory lesions, focal fibrosis, and premalignant or malignant lesions. Long-term CT surveillance follow-up is needed to manage SSNs that persist for >3 months. Although most SSNs have an indolent clinical course, PSNs may have a more aggressive clinical course than pure GGNs. The proportion of growth and the time to grow is higher and shorter in PSN than pure GGN. In lung adenocarcinoma manifesting as SSNs, mutations were the major driver mutations. Guidelines are available for the management of incidentally detected and screening-detected SSNs. The size, solidity, location, and number of SSNs are important factors in determining the need for surveillance and surgical resection, as well as the interval of follow-up. Positron emission tomography/CT and brain magnetic resonance imaging (MRI) are not recommended for the diagnosis of SSNs, especially for pure GGNs. Periodic CT surveillance and lung-sparing surgery are the main strategies for the management of persistent SSNs. Nonsurgical treatment options for persistent SSNs include stereotactic body radiotherapy (SBRT) and radiofrequency ablation (RFA). For multifocal SSNs, the timing of repeated CT scans and the need for surgical treatment are decided based on the most dominant SSN(s).

CONCLUSIONS

The SSN is a heterogeneous disease and a personalized medicine approach is required in the future. Future studies of SSNs should focus on their natural history, optimal follow-up duration, genetic features, and surgical and nonsurgical treatments to improve the corresponding clinical management. All these efforts will lead to the personalized medicine approach for the SSNs.

摘要

背景与目的

胸部计算机断层扫描(CT)在肺癌筛查中的广泛应用导致亚实性肺结节的检出率增加。亚实性结节(SSN)的管理具有挑战性,因为它们可能生长缓慢,需要长期随访。在本综述中,我们讨论了SSN的特征、自然史、遗传特征、监测及管理。

方法

检索PubMed和谷歌学术,以确定1998年1月至2022年12月期间发表的英文相关文章,使用以下关键词:“亚实性结节”、“磨玻璃结节(GGN)”和“部分实性结节(PSN)”。

关键内容与发现

SSN的鉴别诊断包括短暂性炎症病变、局灶性纤维化以及癌前或恶性病变。对于持续超过3个月的SSN,需要进行长期CT监测随访。尽管大多数SSN临床病程惰性,但PSN的临床病程可能比纯GGN更具侵袭性。PSN的生长比例和生长时间比纯GGN更高且更短。在表现为SSN的肺腺癌中, 突变是主要驱动突变。对于偶然发现和筛查发现的SSN,有相关管理指南。SSN的大小、实性成分、位置和数量是决定是否需要监测和手术切除以及随访间隔的重要因素。不推荐使用正电子发射断层扫描/CT和脑磁共振成像(MRI)来诊断SSN,尤其是纯GGN。定期CT监测和保留肺组织的手术是管理持续性SSN的主要策略。持续性SSN的非手术治疗选择包括立体定向体部放疗(SBRT)和射频消融(RFA)。对于多灶性SSN,重复CT扫描的时机和手术治疗的必要性取决于最主要的SSN。

结论

SSN是一种异质性疾病,未来需要采用个性化医疗方法。未来对SSN的研究应关注其自然史、最佳随访时长、遗传特征以及手术和非手术治疗,以改善相应的临床管理。所有这些努力将促成针对SSN的个性化医疗方法。

https://cdn.ncbi.nlm.nih.gov/pmc/blobs/c05a/10061480/4b58c9fd93cb/atm-11-05-217-f1.jpg

文献AI研究员

20分钟写一篇综述,助力文献阅读效率提升50倍。

立即体验

用中文搜PubMed

大模型驱动的PubMed中文搜索引擎

马上搜索

文档翻译

学术文献翻译模型,支持多种主流文档格式。

立即体验