Department of Pathology, National University Hospital, Singapore 119074, Singapore.
Department of Laboratory Medicine and Pathology, Mayo Clinic, Rochester, MN 55905, USA.
Int J Mol Sci. 2023 Mar 24;24(7):6133. doi: 10.3390/ijms24076133.
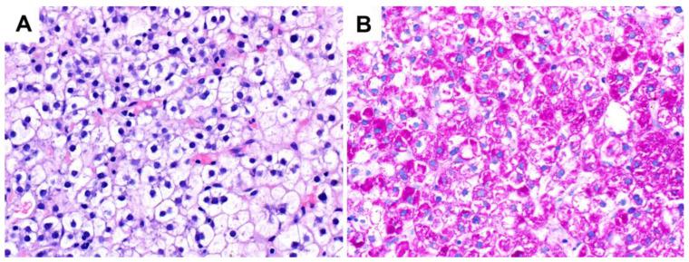
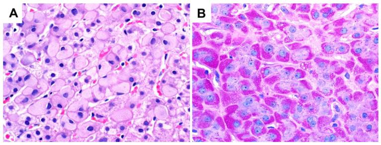
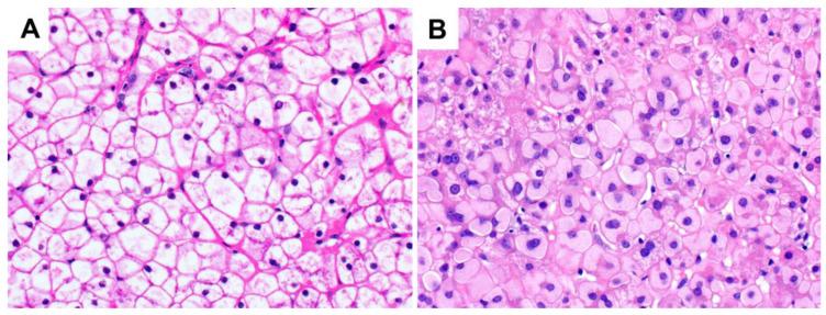
The liver is a major store of glycogen and is essential in maintaining systemic glucose homeostasis. In healthy individuals, glycogen synthesis and breakdown in the liver are tightly regulated. Abnormal glycogen metabolism results in prominent pathological changes in the liver, often manifesting as hepatic glycogenosis or glycogen inclusions. This can occur in genetic glycogen storage disease or acquired conditions with insulin dysregulation such as diabetes mellitus and non-alcoholic fatty liver disease or medication effects. Some primary hepatic tumors such as clear cell hepatocellular carcinoma also demonstrate excessive glycogen accumulation. This review provides an overview of the pathological manifestations and molecular mechanisms of liver diseases associated with abnormal glycogen accumulation.
肝脏是糖原的主要储存库,对于维持全身葡萄糖内稳态至关重要。在健康个体中,肝脏中的糖原合成和分解受到严格调控。异常的糖原代谢会导致肝脏发生显著的病理变化,常表现为肝糖原贮积症或糖原包涵体。这种情况可发生于遗传性糖原贮积病,或发生于胰岛素调节异常的获得性疾病,如糖尿病、非酒精性脂肪性肝病或药物作用。某些原发性肝肿瘤,如透明细胞肝癌,也表现出过度的糖原积累。本综述概述了与异常糖原积累相关的肝脏疾病的病理表现和分子机制。