Suppr超能文献

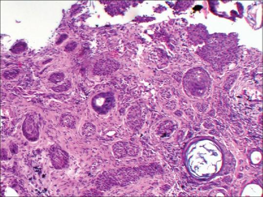
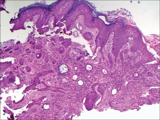
Nodulo-Ulcerative Plaque Over the Vertex of Scalp.

作者信息

Tambe Swagata, Ansari Saba, Bade Rakesh

机构信息

Innovation Skin Clinic and Laser Center, Mumbai, Maharashtra, India.

KJ Somaiya Hospital and Medical College, Mumbai, Maharashtra, India.

出版信息

Indian Dermatol Online J. 2023 Feb 23;14(2):292-293. doi: 10.4103/idoj.idoj_240_22. eCollection 2023 Mar-Apr.

Abstract
摘要
https://cdn.ncbi.nlm.nih.gov/pmc/blobs/b15d/10115311/a893cb933e6d/IDOJ-14-292-g001.jpg

文献AI研究员

20分钟写一篇综述,助力文献阅读效率提升50倍。

立即体验

用中文搜PubMed

大模型驱动的PubMed中文搜索引擎

马上搜索

文档翻译

学术文献翻译模型,支持多种主流文档格式。

立即体验