Suppr超能文献

评价蘑菇对糖尿病大鼠器官组织病理学变化的影响。

Evaluation of Mushroom Effects on Histopathological Changes in Organs of Diabetic Rats.

机构信息

Centre of Biotechnology, University of Allahabad, Prayagraj 211002, India.

Department of Zoology, C.M.P. Degree College, University of Allahabad, Prayagraj 211002, India.

出版信息

Dis Markers. 2023 Apr 14;2023:1520132. doi: 10.1155/2023/1520132. eCollection 2023.

Abstract

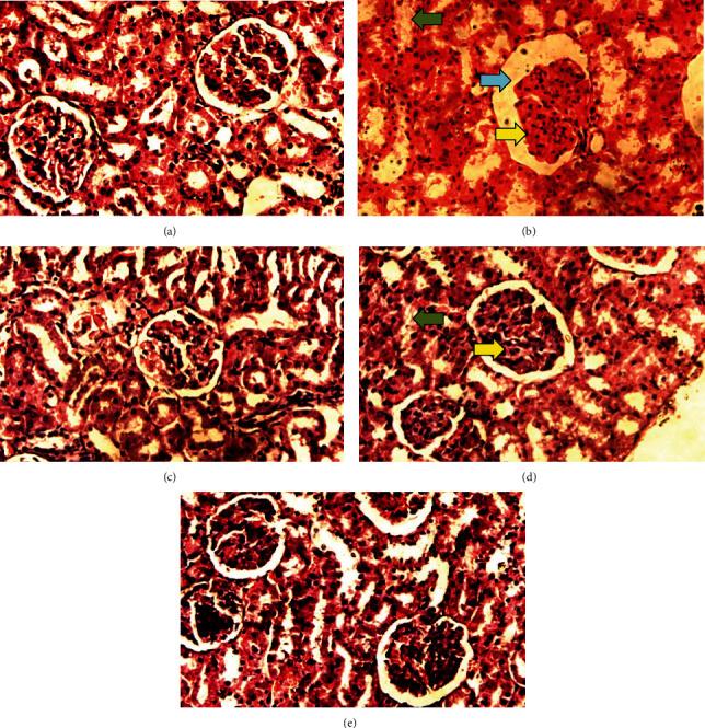
Diabetes mellitus (DM) is a metabolic disorder that can be categorized mainly into type 1 and type 2. Diabetes type 1 is caused due to -cell destruction, whereas type 2 is caused by the resistance of cell receptors. Many therapies are available for the management of diabetes, but they have some side effects, and as a result of this, people are attracted to natural treatments. mushrooms are well documented for their medicinal attributes and their role in the treatment of diseases like cancer, infectious disease, neurodiseases, and inflammatory disease. The protective mechanism of the () mushroom and its detailed histological study on kidneys and the liver in diabetic conditions were unexplored. The present study evaluated the effects of aqueous extract on histological changes in the diabetic rat model. Male Wistar albino rats were used to create the diabetic model by using streptozotocin (STZ) intraperitoneal (IP) injection. The animals were separated into five different groups, with six animals in each. Only group I, animals that did not receive STZ, was considered a normal control. Group II was a diabetic control and received normal saline, and group III was a drug control and received metformin as a standard drug. Groups IV and V were dosing groups, which received the aqueous extract of in 250 mg/kg and 500 mg/kg of body weight concentrations, labeled as T1 and T2 groups, respectively. The T1 and T2 groups clearly showed their potential to reverse the histopathological changes in the kidney and liver. However, the T2 group was more effective than the T1 group, as results indicate that functions of the glomerulus and its structural deformity were restored to their near-natural form in the T2 group. In the case of the liver, the histological changes like the dilatation of sinusoids, more numbers of the Kupffer cell formation, and necrosis were restored in the T2 group. All these results proved the potential of against the side effects of diabetes. It could protect the organs from developing diabetic nephropathy (DN) and liver-related diseases like cirrhosis and nonalcoholic fatty liver disease (NAFLD).

摘要

糖尿病(DM)是一种代谢紊乱,主要可分为 1 型和 2 型。1 型糖尿病是由于 -细胞破坏引起的,而 2 型糖尿病是由于细胞受体的抵抗引起的。有许多疗法可用于糖尿病的治疗,但它们有一些副作用,因此人们倾向于使用天然疗法。 蘑菇因其药用特性及其在癌症、传染病、神经疾病和炎症性疾病等疾病治疗中的作用而有充分的记载。 蘑菇的保护机制及其在糖尿病条件下对肾脏和肝脏的详细组织学研究尚不清楚。本研究评估了 水提物对糖尿病大鼠模型组织学变化的影响。雄性 Wistar 白化大鼠通过腹腔内(IP)注射链脲佐菌素(STZ)构建糖尿病模型。将动物分为五组,每组六只。只有不接受 STZ 的第一组动物被认为是正常对照。第二组为糖尿病对照组,给予生理盐水,第三组为药物对照组,给予二甲双胍作为标准药物。第四组和第五组为给药组,分别给予 水提物 250mg/kg 和 500mg/kg 的体重浓度,标记为 T1 和 T2 组。T1 和 T2 组清楚地显示了它们逆转肾脏和肝脏组织病理学变化的潜力。然而,T2 组比 T1 组更有效,结果表明 T2 组肾小球及其结构畸形的功能恢复到接近自然的形式。在肝脏方面,T2 组恢复了窦扩张、更多库普弗细胞形成和坏死等组织学变化。所有这些结果都证明了 对抗糖尿病副作用的潜力。它可以保护器官免受糖尿病肾病(DN)和与肝脏相关的疾病(如肝硬化和非酒精性脂肪性肝病(NAFLD))的发展。

https://cdn.ncbi.nlm.nih.gov/pmc/blobs/25b7/10121342/614d798a6153/DM2023-1520132.001.jpg

文献AI研究员

20分钟写一篇综述,助力文献阅读效率提升50倍。

立即体验

用中文搜PubMed

大模型驱动的PubMed中文搜索引擎

马上搜索

文档翻译

学术文献翻译模型,支持多种主流文档格式。

立即体验