Suppr超能文献

嗅神经母细胞瘤——转移与血液学之间的棘手界限。

Olfactory Neuroblastoma-A Challenging Fine Line between Metastasis and Hematology.

机构信息

ENT Department, Spitalul Clinic Municipal de Urgenta, Victor Babeş University of Medicine and Pharmacy, Bulevardul. Revolutiei No. 6, 300054 Timisoara, Romania.

ENT Department, Victor Babeş University of Medicine and Pharmacy, 300041 Timişoara, Romania.

出版信息

Medicina (Kaunas). 2023 Apr 8;59(4):731. doi: 10.3390/medicina59040731.

Abstract

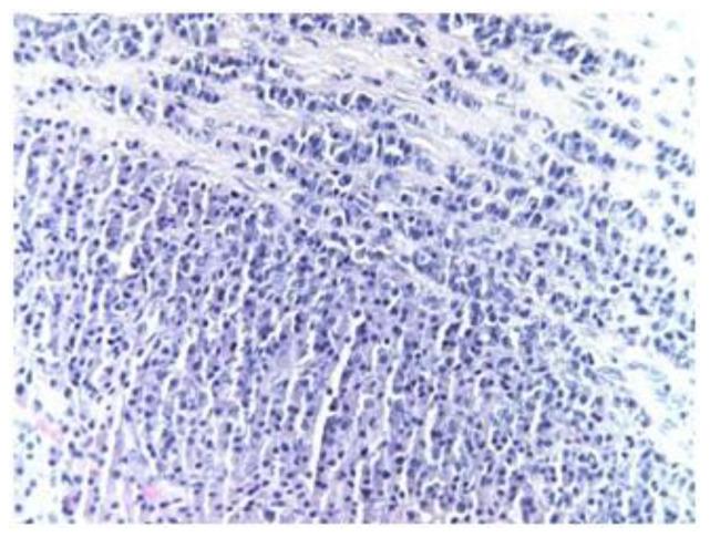
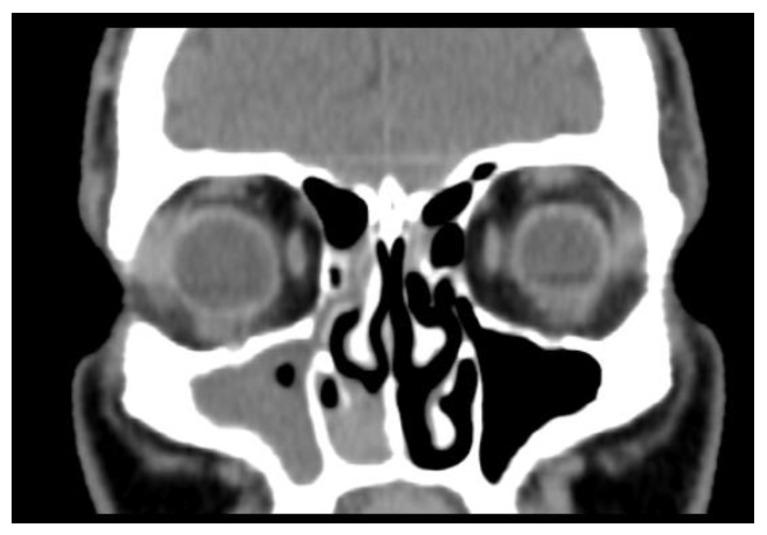
Developing in a limited space, rare tumors located at the nose and paranasal sinuses are sometimes difficult to diagnose due to their modest clinical presentation, which is uncorrelated with anatomopathological diversity. This limits the preoperative diagnosis without added immune histochemical study; for that reason, we present our experience with these tumors with the intention of raising awareness. The patient included in our study was investigated by our department through clinical and endoscopic examination, imaging investigations, and an anatomic-pathological study. The selected patient gave consent for participation and inclusion in this research study in compliance with the 1964 Declaration of Helsinki.

摘要

在有限的空间中发育,由于其临床表现温和,与解剖病理学多样性无关,位于鼻腔和鼻旁窦的罕见肿瘤有时难以诊断。这限制了没有额外免疫组织化学研究的术前诊断;因此,我们介绍了我们在这些肿瘤方面的经验,旨在提高认识。我们科室通过临床和内镜检查、影像学检查以及解剖病理学研究对纳入研究的患者进行了调查。所选患者同意参与并符合 1964 年赫尔辛基宣言纳入本研究。

https://cdn.ncbi.nlm.nih.gov/pmc/blobs/9728/10146428/e39d33b52484/medicina-59-00731-g001.jpg

文献AI研究员

20分钟写一篇综述,助力文献阅读效率提升50倍。

立即体验

用中文搜PubMed

大模型驱动的PubMed中文搜索引擎

马上搜索

文档翻译

学术文献翻译模型,支持多种主流文档格式。

立即体验