Suppr超能文献

伴有印戒细胞分化的癌与浸润性乳腺癌相关:一例报告。

Carcinoma with signet ring cell differentiation associated with invasive breast cancer: A case report.

作者信息

Yang Wei, Ding Shun, Wang Litao, Ren Fupeng, Lai Yunying, Wang Hongfang, Wang Huan, Hong Guodai, Gao Wenbin

机构信息

Department of Oncology, The Third Affiliated Hospital of Shenzhen University, Shenzhen, Guangdong 518000, P.R. China.

Department of Pathology, The Third Affiliated Hospital of Shenzhen University, Shenzhen, Guangdong 518000, P.R. China.

出版信息

Oncol Lett. 2023 Apr 6;25(5):212. doi: 10.3892/ol.2023.13798. eCollection 2023 May.

Abstract

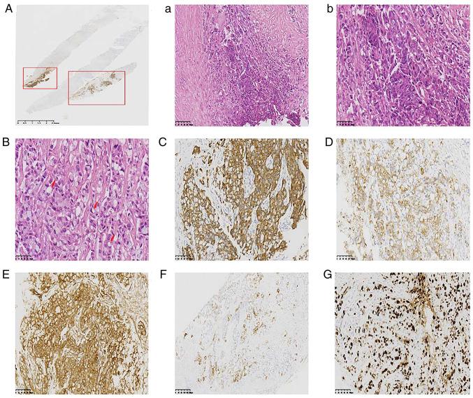
Carcinoma with signet ring cell differentiation is uncommon in patients with invasive breast cancer. Clinical evidence has suggested that the prognosis of this tumor is usually poor if the stage is advanced. The case of a 40-year-old female patient with primary cancer in the right breast accompanied by bilateral neck, axillary, right subclavian and mediastinal lymph node metastases, and left breast metastasis is presented in the current study. The patient developed superior vena cava syndrome and was restricted in lifting the upper right limb when presenting at the Third Affiliated Hospital of Shenzhen University, Shenzhen. The histopathological and immunohistochemical features included ~80% of the tumor cell area having a signet ring cell pattern, exhibiting the phenotype of lobular carcinoma, and ~20% of the tumor cell area exhibiting a ductal carcinoma immunophenotype with neuroendocrine expression The patient received chemotherapy with paclitaxel liposomes and doxorubicin hydrochloride liposomes according to the general guidelines for the treatment of stage IV breast carcinoma. The patient achieved a partial response after 4 cycles of treatment, and then experienced progressive disease in the form of brain metastasis after 6 cycles. Owing to the rarity of carcinoma with signet ring cell differentiation in invasive breast carcinoma, this case report discusses the patient's clinical and histopathological characteristics, and the treatment prognosis.

摘要

印戒细胞分化型癌在浸润性乳腺癌患者中并不常见。临床证据表明,如果处于晚期,这种肿瘤的预后通常较差。本研究报告了一名40岁女性患者的病例,该患者右乳原发性癌伴双侧颈部、腋窝、右锁骨下及纵隔淋巴结转移,以及左乳转移。该患者出现上腔静脉综合征,在深圳大学第三附属医院就诊时右上肢体活动受限。组织病理学和免疫组化特征包括:约80%的肿瘤细胞区域呈印戒细胞形态,表现为小叶癌的表型,约20%的肿瘤细胞区域表现为具有神经内分泌表达的导管癌免疫表型。该患者根据IV期乳腺癌的一般治疗指南接受了紫杉醇脂质体和盐酸多柔比星脂质体化疗。患者在4个周期的治疗后达到部分缓解,然后在6个周期后出现脑转移形式的疾病进展。由于浸润性乳腺癌中印戒细胞分化型癌罕见,本病例报告讨论了患者的临床和组织病理学特征以及治疗预后。

https://cdn.ncbi.nlm.nih.gov/pmc/blobs/454e/10131262/dbd3e2e328e5/ol-25-05-13798-g00.jpg

文献AI研究员

20分钟写一篇综述,助力文献阅读效率提升50倍。

立即体验

用中文搜PubMed

大模型驱动的PubMed中文搜索引擎

马上搜索

文档翻译

学术文献翻译模型,支持多种主流文档格式。

立即体验