Suppr超能文献

广泛的磷酸化作用由睾丸特异性丝氨酸/苏氨酸激酶介导,有助于精子发生和男性生育能力。

Broad phosphorylation mediated by testis-specific serine/threonine kinases contributes to spermiogenesis and male fertility.

机构信息

School of Life Science and Technology, ShanghaiTech University, 201210, Shanghai, China.

School of Life Sciences, Tsinghua University, 100084, Beijing, China.

出版信息

Nat Commun. 2023 May 6;14(1):2629. doi: 10.1038/s41467-023-38357-0.

Abstract

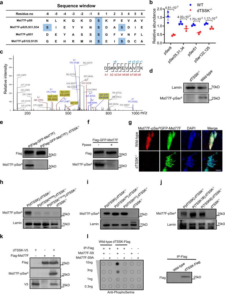
Genetic studies elucidate a link between testis-specific serine/threonine kinases (TSSKs) and male infertility in mammals, but the underlying mechanisms are unclear. Here, we identify a TSSK homolog in Drosophila, CG14305 (termed dTSSK), whose mutation impairs the histone-to-protamine transition during spermiogenesis and causes multiple phenotypic defects in nuclear shaping, DNA condensation, and flagellar organization in spermatids. Genetic analysis demonstrates that kinase catalytic activity of dTSSK, which is functionally conserved with human TSSKs, is essential for male fertility. Phosphoproteomics identify 828 phosphopeptides/449 proteins as potential substrates of dTSSK enriched primarily in microtubule-based processes, flagellar organization and mobility, and spermatid differentiation and development, suggesting that dTSSK phosphorylates various proteins to orchestrate postmeiotic spermiogenesis. Among them, the two substrates, protamine-like protein Mst77F/Ser and transition protein Mst33A/Ser, are biochemically validated to be phosphorylated by dTSSK in vitro, and are genetically demonstrated to be involved in spermiogenesis in vivo. Collectively, our findings demonstrate that broad phosphorylation mediated by TSSKs plays an indispensable role in spermiogenesis.

摘要

遗传研究阐明了睾丸特异性丝氨酸/苏氨酸激酶(TSSKs)与哺乳动物雄性不育之间的联系,但潜在的机制尚不清楚。在这里,我们在果蝇中鉴定出一个 TSSK 同源物,CG14305(称为 dTSSK),其突变会损害精子发生过程中的组蛋白到鱼精蛋白的转变,并导致精原细胞中核形成、DNA 浓缩和鞭毛组织的多种表型缺陷。遗传分析表明,dTSSK 的激酶催化活性对于雄性生育力是必不可少的,该激酶活性在功能上与人类 TSSKs 保守。磷酸蛋白质组学鉴定出 828 个磷酸肽/449 个蛋白质作为 dTSSK 的潜在底物,主要富集在基于微管的过程、鞭毛组织和运动以及精原细胞分化和发育中,表明 dTSSK 磷酸化各种蛋白质以协调减数分裂后精子发生。其中,两个底物,类鱼精蛋白蛋白 Mst77F/Ser 和过渡蛋白 Mst33A/Ser,在体外被 dTSSK 生化验证为磷酸化,并且在体内被证明参与精子发生。总之,我们的研究结果表明,广泛的 TSSKs 介导的磷酸化在精子发生中起着不可或缺的作用。

https://cdn.ncbi.nlm.nih.gov/pmc/blobs/b554/10164148/7035b68e7a20/41467_2023_38357_Fig1_HTML.jpg

文献AI研究员

20分钟写一篇综述,助力文献阅读效率提升50倍。

立即体验

用中文搜PubMed

大模型驱动的PubMed中文搜索引擎

马上搜索

文档翻译

学术文献翻译模型,支持多种主流文档格式。

立即体验