Suppr超能文献

结核后脓胸所致胸壁坏死性筋膜炎:病例报告及文献复习

Necrotizing fasciitis of the chest wall caused by empyema necessitans following tuberculosis: Case report and literature review.

作者信息

Bayileyegn Nebiyou, Mengiste Dawit Teka

机构信息

Department of Surgery, Jimma University Medical Center, Jimma, Ethiopia.

Department of Surgery, Jimma University Medical Center, Jimma, Ethiopia.

出版信息

Int J Surg Case Rep. 2023 May;106:108300. doi: 10.1016/j.ijscr.2023.108300. Epub 2023 May 4.

Abstract

INTRODUCTION AND IMPORTANCE

Empyema is a serious complication characterized by pus and bacteria in the pleural space which may progress to necrosis, cavitation, or fistulas in the thoracic cavity. Infection and trauma are the commonest causes in the developed countries while tuberculosis is the commonest cause of empyema in developing countries. Empyema necessitans is a rare complication of pleural space infections.

CASE PRESENTATION

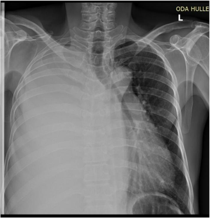
A 50 years old male patient presented to our hospital with right side chest pain and shortness of breath of 3-week duration. He had completed treatment of pulmonary tuberculosis 6 months ago. The patient was apparently healthy for the last six months after the treatment. The patient was acutely sick looking and has tachycardia with pulse rate of 115, respiratory rate was 36 and arterial oxygen saturation of 80 % with atmospheric air but becomes 96 % with facemask humidified oxygen. Tube thoracostomy and chest wall debridement was done for empyema necessitans with chest wall necrotizing fasciitis.

CLINICAL DISCUSSION

Empyematous collection with time may lead to a more complicated scenario called empyema necessitans. Empyema necessitans is the dissection of puss thru the pleural space and collection in the torso/ free rupture with or without collection of air. The most common cause of empyema globally is untreated parapneumonic effusion. Tuberculosis constitutes for most of the cases of empyema necessitans in third world countries. Debridement and wound care are monumental for the management of necrotizing fasciitis in addition to broad spectrum antibiotics.

CONCLUSION

Timely treatment/drug adherence to pneumonia and tuberculosis decreases the rate of having empyema and subsequent complication. Chest wall necrotizing fasciitis is extremely rare and judicious management with debridement and wound care is appropriate whenever it happens. Broad spectrum antibiotics with drainage are the norm of management of empyema/empyema necessitans.

摘要

引言与重要性

脓胸是一种严重的并发症,其特征为胸膜腔内有脓液和细菌,可能进展为胸腔内坏死、空洞形成或瘘管。在发达国家,感染和创伤是最常见的病因,而在发展中国家,结核病是脓胸最常见的病因。脓胸穿破胸壁是胸膜腔感染的一种罕见并发症。

病例介绍

一名50岁男性患者因右侧胸痛和气短3周前来我院就诊。他6个月前完成了肺结核治疗。治疗后的最后6个月里,患者看起来明显健康。患者病容憔悴,心率过速,脉搏率为115次/分,呼吸频率为36次/分,在空气中动脉血氧饱和度为80%,但使用面罩湿化氧气时升至96%。对患有胸壁坏死性筋膜炎的脓胸穿破胸壁患者进行了胸腔闭式引流术和胸壁清创术。

临床讨论

随着时间推移,脓性积液可能导致一种更复杂的情况,即脓胸穿破胸壁。脓胸穿破胸壁是指脓液通过胸膜腔扩散并在躯干积聚/无论有无气体积聚均发生自由破裂。全球脓胸最常见的病因是未经治疗的肺炎旁胸腔积液。在第三世界国家,结核病是大多数脓胸穿破胸壁病例的病因。除了使用广谱抗生素外,清创和伤口护理对于坏死性筋膜炎的治疗至关重要。

结论

及时治疗/坚持治疗肺炎和结核病可降低患脓胸及后续并发症的发生率。胸壁坏死性筋膜炎极为罕见,一旦发生,明智的处理方法是进行清创和伤口护理。使用广谱抗生素并进行引流是脓胸/脓胸穿破胸壁的常规治疗方法。

https://cdn.ncbi.nlm.nih.gov/pmc/blobs/f86e/10195979/2514c37520c5/gr1a.jpg

文献AI研究员

20分钟写一篇综述,助力文献阅读效率提升50倍。

立即体验

用中文搜PubMed

大模型驱动的PubMed中文搜索引擎

马上搜索

文档翻译

学术文献翻译模型,支持多种主流文档格式。

立即体验