Vasta G, Tursini S, Rovero E, Angotti R, Molinaro F, Briganti V
Pediatric Surgery, San Camillo-Forlanini Hospital, Rome, Italy.
Pediatric Surgery, Department of Medical, Surgical and Neurological Sciences, S. Maria Alle Scotte Hospital, University of Siena, Siena, Italy.
Front Pediatr. 2023 Apr 19;11:1151039. doi: 10.3389/fped.2023.1151039. eCollection 2023.
An esophageal duplication cyst (EDC) is a rare malformation resulting from the embryonic foregut. VACTERL syndrome is a genetic disorder affecting many systems of the human body. We report the first case of VACTERL syndrome associated to asymptomatic double EDC.
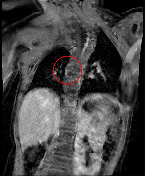
A girl with anorectal malformation and rectovestibular fistula, kidney malformation, and various vertebral defects came to our attention at the time of birth. VACTERL disease was diagnosed. She underwent Peña anoplasty at 4 months of life without complications. MRI was conducted at the age of 2. It accidentally showed a double esophageal duplication (12 mm × 35 mm × 10 mm) at the D7-D9 level. We planned a thoracoscopy; previous intraoperative esophagogastroduodenoscopy showed an external compression of the native esophagus. Two duplicated esophageal lesions were removed. The patient made an uneventful recovery and was completely asymptomatic at long-term follow-up.
VACTERL syndrome is still a not well-defined disease. Based on the current literature, this is the first case of a double esophageal duplication in a patient affected by VACTERL syndrome. According to us, the thoracoscopic approach of esophageal duplications can be followed by experts. Complete surgical excision is possible even if the cyst shares a common muscular wall with the esophagus. For this reason, we suggest to close the muscular wall by a simple interrupted suture.
食管重复囊肿(EDC)是一种由胚胎前肠发育异常导致的罕见畸形。VACTERL综合征是一种影响人体多个系统的遗传性疾病。我们报告首例与无症状双发性EDC相关的VACTERL综合征病例。
一名患有肛门直肠畸形、直肠前庭瘘、肾脏畸形及多种脊柱缺陷的女婴在出生时引起了我们的注意。诊断为VACTERL病。她在4个月大时接受了佩尼亚肛门成形术,术后无并发症。2岁时进行了MRI检查,意外发现T7-T9水平存在双发性食管重复畸形(12 mm×35 mm×10 mm)。我们计划进行胸腔镜检查;之前的术中食管胃十二指肠镜检查显示原生食管受到外部压迫。切除了两个重复的食管病变。患者恢复顺利,长期随访完全无症状。
VACTERL综合征仍是一种定义尚不明确的疾病。根据目前的文献,这是首例受VACTERL综合征影响的患者出现双发性食管重复畸形的病例。我们认为,食管重复畸形的胸腔镜手术方法可供专家采用。即使囊肿与食管共用一层共同肌壁,也有可能进行完整的手术切除。因此,我们建议用简单间断缝合法关闭肌壁。