Suppr超能文献

婴儿卡波西样血管内皮瘤的临床及影像学特征

Clinical and imaging features of Kaposiform hemangioendothelioma in infants.

作者信息

Hu Yuanjun, Song Dan, Wu Changhua, Wang Liang, Li Jing, Guo Lei

机构信息

Department of Pediatric Surgery, Children's Hospital Affiliated to Shandong, University, Jinan, 250022, Shandong, China.

Department of Pediatric Surgery, Jinan Children's Hospital, Jinan, 250022, Shandong, China.

出版信息

Heliyon. 2023 Apr 10;9(5):e15425. doi: 10.1016/j.heliyon.2023.e15425. eCollection 2023 May.

Abstract

OBJECTIVE

Kaposiform hemangioendothelioma (KHE) is a locally aggressive tumor of vascular origin. This study investigated the clinical and imaging features of KHE to provide a reference for its early diagnosis.

METHODS

The clinical and imaging findings of 27 clinically confirmed KHE cases (including 21 with focal lesions and 6 with diffuse lesions) between January 2016 and December 2021 were retrospectively analyzed.

RESULTS

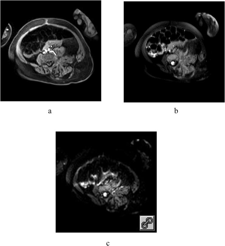
The mean age of the 27 patients was 105 ± 80.27 days. Twenty-two (81.5%) of these patients had Kasabach-Merritt phenomenon. Most KHEs were located in the trunk and/or extremities (22/27). Ultrasonography showed heterogeneous echogenicity and/or striated hypoechoic bands with abundant or patchy blood flow within the tumor. On plain computed tomography (CT), they appeared as heterogeneous lesions isodense with the muscles, with a CT value of 29.58 ± 11.53 HU. In the arterial phase, the KHEs showed striated or lamellar heterogeneous enhancement, with a CT value of 153.91 ± 52.11 HU after enhancement. All KHEs showed uneven and high signal intensity on T2-weighted imaging, mixed high and low signal intensity on fat-saturated images, and no significant diffusion restriction on diffusion-weighted imaging.

CONCLUSION

KHEs can occur in various locations and present as highly infiltrative and heterogeneous masses that can invade the skin, adjacent muscles, and bones. A vascularized mass with purpuric skin changes, with uneven and high T2WI signal is highly suggestive of the diagnosis of KHE.

摘要

目的

卡波西型血管内皮瘤(KHE)是一种具有局部侵袭性的血管源性肿瘤。本研究探讨KHE的临床及影像学特征,为其早期诊断提供参考。

方法

回顾性分析2016年1月至2021年12月期间27例临床确诊的KHE病例(包括21例局灶性病变和6例弥漫性病变)的临床及影像学表现。

结果

27例患者的平均年龄为105±80.27天。其中22例(81.5%)患者出现卡萨巴赫-梅里特现象。大多数KHE位于躯干和/或四肢(22/27)。超声检查显示肿瘤内部回声不均匀,可见条纹状低回声带,血流丰富或呈片状。平扫计算机断层扫描(CT)显示病变与肌肉等密度,密度不均匀,CT值为29.58±11.53 HU。动脉期,KHE呈条纹状或片状不均匀强化,强化后CT值为153.91±52.11 HU。所有KHE在T2加权成像上均表现为不均匀高信号,在脂肪抑制图像上呈高低混合信号,在扩散加权成像上无明显扩散受限。

结论

KHE可发生于不同部位,表现为高度浸润性、不均匀的肿块,可侵犯皮肤、邻近肌肉和骨骼。出现皮肤紫癜改变的血管化肿块,T2WI信号不均匀且高,高度提示KHE的诊断。

https://cdn.ncbi.nlm.nih.gov/pmc/blobs/760a/10163614/a9f1f16794e5/gr1.jpg

文献AI研究员

20分钟写一篇综述,助力文献阅读效率提升50倍。

立即体验

用中文搜PubMed

大模型驱动的PubMed中文搜索引擎

马上搜索

文档翻译

学术文献翻译模型,支持多种主流文档格式。

立即体验