Suppr超能文献

壳聚糖-透明质酸-促红细胞生成素β纳米制剂在青光眼大鼠模型中的局部给药

Topical Administration of a Nanoformulation of Chitosan-Hyaluronic Acid-Epoetin Beta in a Rat Model of Glaucoma.

作者信息

Silva Beatriz, Gonçalves Lídia M, Braz Berta São, Delgado Esmeralda

机构信息

CIISA-Centre for Interdisciplinary Research in Animal Health, Faculty of Veterinary Medicine, Universidade de Lisboa Avenida da Universidade Técnica, 1300-477 Lisbon, Portugal.

Associate Laboratory for Animal and Veterinary Sciences (AL4AnimalS), 1300-477 Lisbon, Portugal.

出版信息

Pharmaceuticals (Basel). 2023 Jan 23;16(2):164. doi: 10.3390/ph16020164.

Abstract

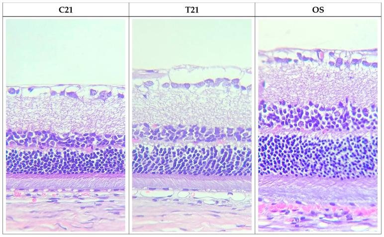
The present work investigates the effects of chitosan-hyaluronic acid-epoetin beta (CS/HA-EPOβ) nanoparticles after topical ocular administration in a rat glaucoma model. Wistar Hannover rats ( = 24) were submitted to a complete ophthalmological examination and electroretinography, followed by glaucoma induction in their right eye on day 1 of the study. Treatment group (T) received CS/HA-EPOβ nanocarriers ( = 12), while the control group (C) received only empty ones. Electroretinography was repeated on day 3 ( = 24) and before euthanasia on day 7 ( = 8), 14 ( = 8), and 21 ( = 8), followed by bilateral enucleation and histological assessment. The animals showed good tolerance to the nanoformulation. Maximum IOP values on the right eye occurred shortly after glaucoma induction (T = 62.6 ± 8.3 mmHg; C = 63.6 ± 7.9 mmHg). Animals from the treated group presented a tendency for faster recovery of retinal electrical activity ( > 0.05). EPOβ was detected on the retina of all treated eyes using immunofluorescence. Control animals presented with thinner retinas compared to the treated ones ( < 0.05). Therefore, topical ocular administration of CS/HA-EPOβ nanoparticles enabled EPOβ delivery to the retina of glaucomatous rats and promoted an earlier retinal recovery, confirming EPOβ's neuroprotective effects. The encouraging results of this preclinical study pave the way for new strategies for topical ocular administration of neuroprotective compounds.

摘要

本研究调查了壳聚糖-透明质酸-促红细胞生成素β(CS/HA-EPOβ)纳米颗粒在大鼠青光眼模型中局部眼内给药后的效果。将24只Wistar Hannover大鼠进行全面的眼科检查和视网膜电图检查,然后在研究第1天对其右眼进行青光眼诱导。治疗组(T)接受CS/HA-EPOβ纳米载体(n = 12),而对照组(C)仅接受空载体。在第3天(n = 24)以及第7天(n = 8)、14天(n = 8)和21天(n = 8)安乐死之前重复进行视网膜电图检查,随后进行双侧眼球摘除和组织学评估。动物对纳米制剂表现出良好的耐受性。青光眼诱导后不久,右眼的眼压最大值出现(T = 62.6 ± 8.3 mmHg;C = 63.6 ± 7.9 mmHg)。治疗组的动物呈现出视网膜电活动恢复更快的趋势(P>0.05)。使用免疫荧光法在所有治疗眼的视网膜上检测到了EPOβ。与治疗组相比,对照组动物的视网膜更薄(P<0.05)。因此,局部眼内给予CS/HA-EPOβ纳米颗粒能够将EPOβ递送至青光眼大鼠的视网膜,并促进视网膜更早恢复,证实了EPOβ的神经保护作用。这项临床前研究的令人鼓舞的结果为神经保护化合物局部眼内给药的新策略铺平了道路。

https://cdn.ncbi.nlm.nih.gov/pmc/blobs/6549/9963646/8907ac0d3929/pharmaceuticals-16-00164-g001.jpg

文献AI研究员

20分钟写一篇综述,助力文献阅读效率提升50倍。

立即体验

用中文搜PubMed

大模型驱动的PubMed中文搜索引擎

马上搜索

文档翻译

学术文献翻译模型,支持多种主流文档格式。

立即体验