Department of Clinical, Special and Dental Sciences, University Politecnica delle Marche, Via Tronto 10/a, 60126 Ancona, Italy.
Department of Radiology, University Hospital "Azienda Ospedaliero Universitaria delle Marche", Via Conca 71, 60126 Ancona, Italy.
Tomography. 2023 Jun 14;9(3):1153-1186. doi: 10.3390/tomography9030095.
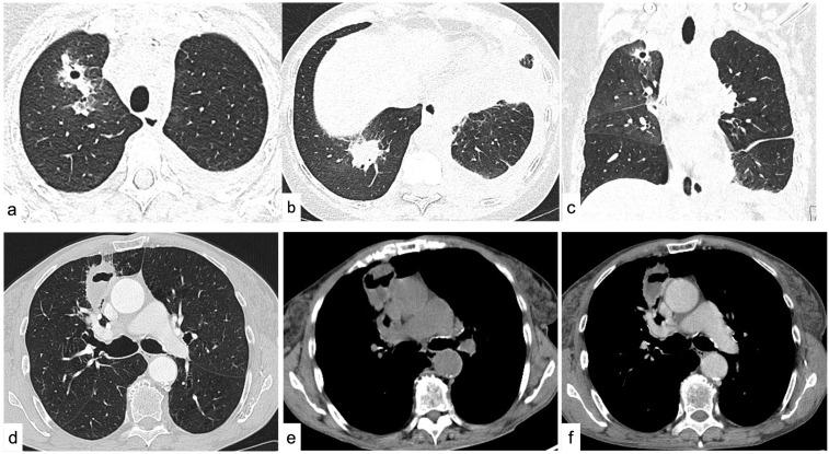
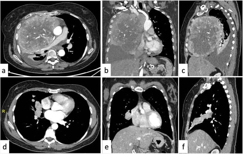
This review has the purpose of illustrating schematically and comprehensively the key concepts for the beginner who approaches chest radiology for the first time. The approach to thoracic imaging may be challenging for the beginner due to the wide spectrum of diseases, their overlap, and the complexity of radiological findings. The first step consists of the proper assessment of the basic imaging findings. This review is divided into three main districts (mediastinum, pleura, focal and diffuse diseases of the lung parenchyma): the main findings will be discussed in a clinical scenario. Radiological tips and tricks, and relative clinical background, will be provided to orient the beginner toward the differential diagnoses of the main thoracic diseases.
这篇综述旨在为初学者全面、直观地展示初次接触胸部放射学的关键概念。初学者可能会因疾病谱广泛、重叠以及影像学表现复杂而感到胸部影像学的诊断具有挑战性。第一步是正确评估基本的影像学表现。本综述分为三个主要区域(纵隔、胸膜、肺实质局灶性和弥漫性疾病):将根据临床情况讨论主要发现。提供放射学技巧和相关临床背景,以帮助初学者对主要胸部疾病进行鉴别诊断。