Department of Small Animal Diseases and Clinic, Institute of Veterinary Medicine, Warsaw University of Life Sciences, Nowoursynowska 159c, 02-776 Warsaw, Poland.
Faculty of Non-Ferrous Metals, AGH University of Science and Technology, Al. A. Mickiewicza 30, 30-059 Kraków, Poland.
Int J Mol Sci. 2023 Jun 7;24(12):9858. doi: 10.3390/ijms24129858.
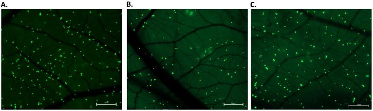
Canine osteosarcoma (OS) is an aggressive bone tumor with high metastatic potential and poor prognosis, mainly due to metastatic disease. Nanomedicine-based agents can be used to improve both primary and metastatic tumor treatment. Recently, gold nanoparticles were shown to inhibit different stages of the metastatic cascade in various human cancers. Here, we assessed the potential inhibitory effect of the glutathione-stabilized gold nanoparticles (Au-GSH NPs) on canine OS cells extravasation, utilizing the ex ovo chick embryo chorioallantoic membrane (CAM) model. The calculation of cells extravasation rates was performed using wide-field fluorescent microscopy. Transmission electron microscopy and Microwave Plasma Atomic Emission Spectroscopy revealed Au-GSH NPs absorption by OS cells. We demonstrated that Au-GSH NPs are non-toxic and significantly inhibit canine OS cells extravasation rates, regardless of their aggressiveness phenotype. The results indicate that Au-GSH NPs can act as a possible anti metastatic agent for OS treatment. Furthermore, the implemented CAM model may be used as a valuable preclinical platform in veterinary medicine, such as testing anti-metastatic agents.
犬骨肉瘤(OS)是一种侵袭性骨肿瘤,具有高转移潜能和预后不良,主要是由于转移疾病。基于纳米医学的制剂可用于改善原发性和转移性肿瘤的治疗。最近,金纳米粒子被证明可以抑制各种人类癌症转移级联的不同阶段。在这里,我们利用鸡胚绒毛尿囊膜(CAM)模型评估了谷胱甘肽稳定的金纳米粒子(Au-GSH NPs)对犬骨肉瘤细胞渗出的潜在抑制作用。使用宽场荧光显微镜计算细胞渗出率。透射电子显微镜和微波等离子体原子发射光谱显示 Au-GSH NPs 被 OS 细胞吸收。我们证明 Au-GSH NPs 是无毒的,并能显著抑制犬骨肉瘤细胞的渗出率,而与它们的侵袭性表型无关。结果表明,Au-GSH NPs 可作为 OS 治疗的一种潜在的抗转移剂。此外,所实施的 CAM 模型可作为兽医医学中一种有价值的临床前平台,例如测试抗转移剂。