Goswami Parth R, Singh Gyanendra
Pathology, All India Institute of Medical Sciences, Rajkot, Rajkot, IND.
Cureus. 2023 Jun 9;15(6):e40165. doi: 10.7759/cureus.40165. eCollection 2023 Jun.
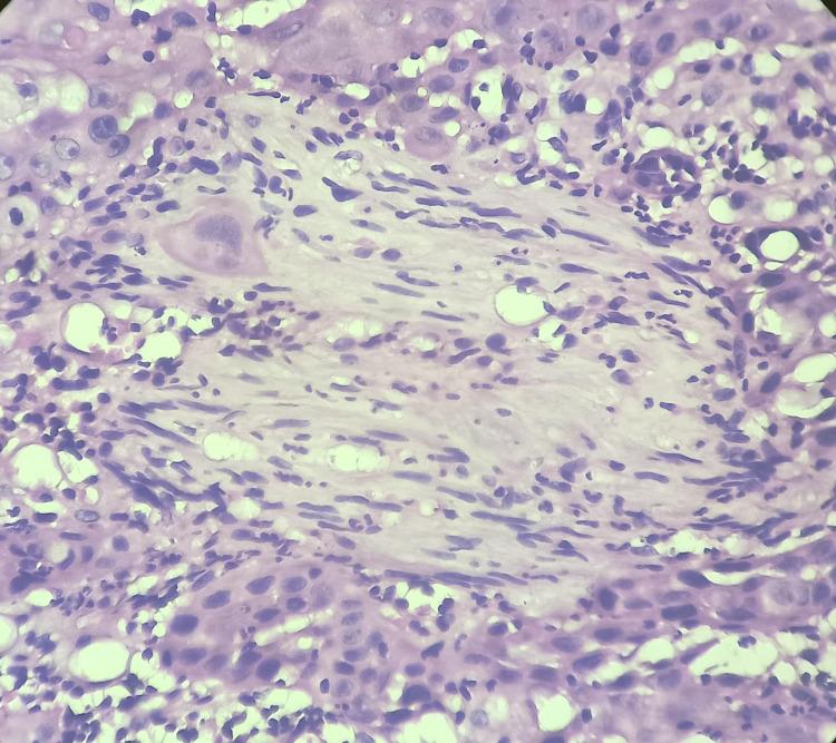
Oral squamous cell carcinoma is associated with severe morbidity, recurrence of tumor, and reduced survival rate despite advances in treatment. Perineural invasion (PNI) is associated with neurotropic malignancy. PNI is due to the tropism of cancer cells toward nerve bundles in tissue. The aim of this literature review is to study the definition, patterns of PNI, Prognostic and therapeutic significance, and mechanism of PNI along with a molecular insight into oral cavity squamous cell carcinoma. Liebig type A pattern defines PNI as the presence of tumor cells within the peripheral nerve sheath & infiltration into the epineurium, perineurium, or endoneurium. Liebig type B pattern defines PNI as a tumor encircling at least 33% of a nerve. Few studies demonstrated an association between PNI and cervical metastasis which indicate poor prognosis. A higher level of expression of nerve growth factor and tyrosine kinase is associated with PNI in OSCC which can be considered as a biomarker of PNI. PNI needs to be studied in detail as it is associated with the aggressiveness of the tumor and decreased survival.
尽管治疗方法有所进步,但口腔鳞状细胞癌仍与严重的发病率、肿瘤复发及生存率降低相关。神经侵犯(PNI)与嗜神经性恶性肿瘤有关。PNI是由于癌细胞对组织中神经束的趋向性所致。本综述的目的是研究PNI的定义、模式、预后及治疗意义、机制,以及对口腔鳞状细胞癌的分子见解。利比希A型模式将PNI定义为肿瘤细胞存在于外周神经鞘内并浸润至神经外膜、神经束膜或神经内膜。利比希B型模式将PNI定义为肿瘤环绕至少33%的神经。少数研究表明PNI与颈部转移之间存在关联,这表明预后不良。神经生长因子和酪氨酸激酶的高表达水平与口腔鳞状细胞癌中的PNI相关,这可被视为PNI的生物标志物。由于PNI与肿瘤的侵袭性和生存率降低相关,因此需要对其进行详细研究。