DeMars Brinn, Khan Mohammad, Lebel David P, Giri Badri
Internal Medicine, Virginia Tech Carilion School of Medicine, Roanoke, USA.
Pulmonary and Critical Care, Virginia Tech Carilion School of Medicine, Roanoke, USA.
Cureus. 2023 Jun 12;15(6):e40326. doi: 10.7759/cureus.40326. eCollection 2023 Jun.
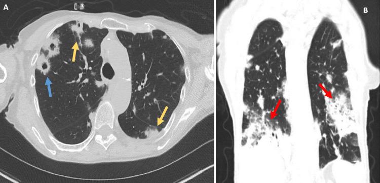
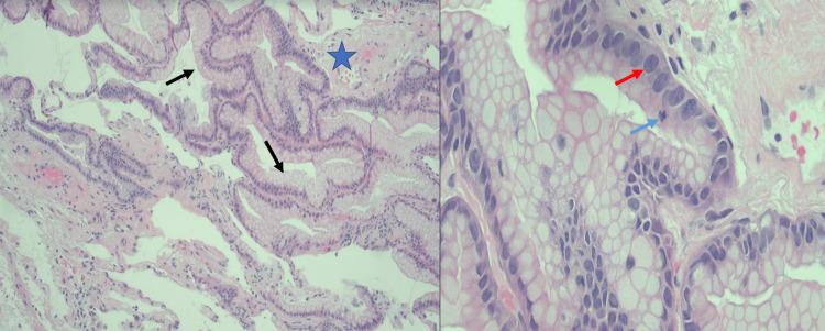
This is a case of a 92-year-old female with multiple hospitalizations for dyspnea on exertion and hypoxemia. Her symptoms were initially thought to be secondary to pneumonia, and on subsequent admission, culture-negative endocarditis. A computed tomography (CT) of the chest was remarkable for numerous bilateral lung nodules of varying size, some of which had a cavitary appearance raising concern for septic emboli. While a transthoracic echo was unremarkable, a transesophageal echo found a small 3 mm echodensity at the tip of the right coronary leaflet of the aortic valve and a possible mobile echodensity on the tricuspid valve leaflet. These findings further supported a clinical diagnosis of endocarditis with septic emboli in the lungs. Initial bronchoscopy yielded an unremarkable biopsy and a bronchial alveolar lavage with the growth of . During a subsequent hospitalization, a repeat bronchoscopy with transbronchial biopsy revealed a final diagnosis of invasive pulmonary mucinous adenocarcinoma. This case highlights a unique presentation of mucinous adenocarcinoma of the lung initially masquerading as septic emboli, resulting in a delay in the final diagnosis.
这是一例92岁女性患者,因劳力性呼吸困难和低氧血症多次住院。她的症状最初被认为继发于肺炎,随后入院诊断为血培养阴性的心内膜炎。胸部计算机断层扫描(CT)显示双侧有许多大小不一的肺结节,其中一些有空洞形成,令人担心是脓毒性栓子。经胸超声心动图检查无异常,但经食管超声心动图发现主动脉瓣右冠状动脉瓣叶尖端有一个3毫米的小回声密度,三尖瓣叶上可能有一个可移动的回声密度。这些发现进一步支持了伴有肺部脓毒性栓子的心内膜炎的临床诊断。初次支气管镜检查活检结果无异常,支气管肺泡灌洗培养出……。在随后的一次住院期间,再次进行支气管镜检查并经支气管活检,最终诊断为浸润性肺黏液腺癌。该病例突出了肺黏液腺癌一种独特的表现形式,最初伪装成脓毒性栓子,导致最终诊断延迟。