Suppr超能文献

一例舌根异位涎腺组织的病例报告。

A case report of ectopic salivary gland tissue in the tongue base.

作者信息

Soh Jin Kai, Awan Bushra

机构信息

Department of Radiology, Salisbury District Hospital, Salisbury NHS Foundation Trust, Odstock Road, Salisbury SP2 8BJ, United Kingdom.

出版信息

Radiol Case Rep. 2023 Jul 22;18(10):3425-3433. doi: 10.1016/j.radcr.2023.07.002. eCollection 2023 Oct.

Abstract

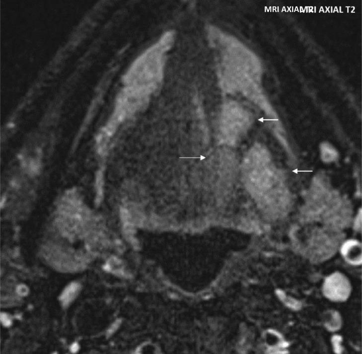
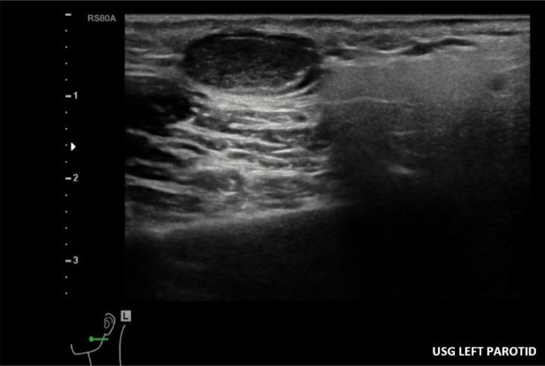
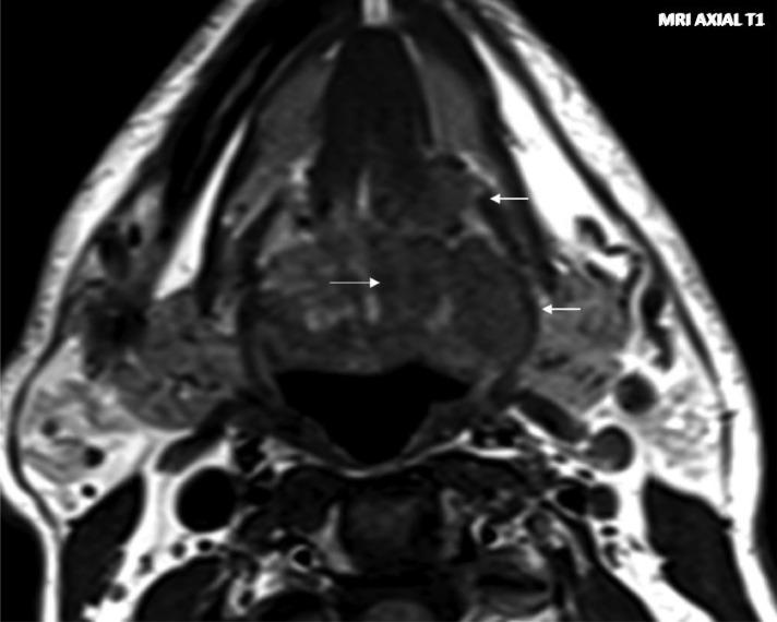
Ectopic salivary gland tissue is the presence of normal salivary gland tissue developing outside of the major and minor salivary glands. We present a rare, incidental case of lingual ectopic salivary gland tissue in a 52-year-old male with known Birt-Hogg-Dubé syndrome, diagnosed on imaging as tongue mass. Excisional biopsy of the left tongue base lesion was performed and histologic examination revealed ectopic salivary gland tissue. We found only a few cases in literature of ectopic salivary gland tissue situated in the tongue. This case illustrates the need to consider ectopic salivary gland tissue as part of the differential diagnoses of a tongue mass.

摘要

异位唾液腺组织是指在大、小唾液腺以外发育的正常唾液腺组织。我们报告一例罕见的、偶然发现的舌部异位唾液腺组织病例,患者为一名52岁男性,患有已知的Birt-Hogg-Dubé综合征,影像学诊断为舌部肿物。对左侧舌根病变进行了切除活检,组织学检查显示为异位唾液腺组织。我们在文献中仅发现少数几例位于舌部的异位唾液腺组织病例。该病例说明,在舌部肿物的鉴别诊断中需要考虑异位唾液腺组织。

https://cdn.ncbi.nlm.nih.gov/pmc/blobs/f309/10369402/8a6552de64ba/gr1.jpg

文献AI研究员

20分钟写一篇综述,助力文献阅读效率提升50倍。

立即体验

用中文搜PubMed

大模型驱动的PubMed中文搜索引擎

马上搜索

文档翻译

学术文献翻译模型,支持多种主流文档格式。

立即体验