Suppr超能文献

腹腔镜修复急性创伤性膈疝:一例报告

Laparoscopic Repair of Acute Traumatic Diaphragmatic Hernia: A Case Report.

作者信息

Charara Rim H, Ibrahim Rana, Zaarour Rana, Houmani Ali, Haidar Ahmad Houssein

机构信息

Internal Medicine, Lebanese University Faculty of Medicine, Beirut, LBN.

Research Department, Saint George Hospital, Beirut, LBN.

出版信息

Cureus. 2023 Jun 26;15(6):e40959. doi: 10.7759/cureus.40959. eCollection 2023 Jun.

Abstract

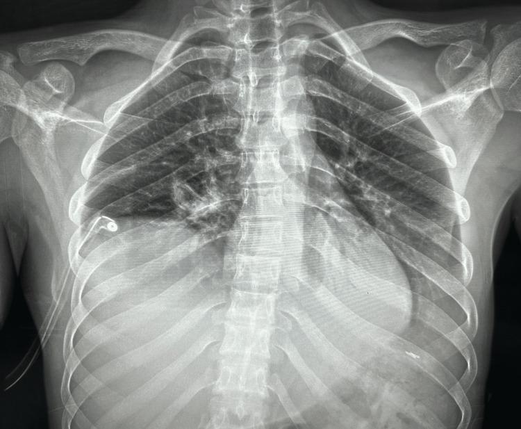
Traumatic diaphragmatic hernia (TDH) is a rare condition resulting from blunt or penetrating thoracoabdominal trauma and is characterized by the protrusion of abdominal organs into the thoracic cavity through a ruptured diaphragm. Due to its diverse clinical presentations, TDH often faces diagnostic challenges. Accurate diagnosis relies on imaging studies and surgical exploration, with surgical intervention being the primary treatment approach. This case presentation highlights a young patient who presented to Saint George Hospital following a blunt thoracoabdominal injury. The patient experienced unexplained dyspnea upon admission, and imaging revealed herniated bowels in the left hemithorax. Laparoscopic exploration confirmed a left hemi-diaphragmatic tear, with the transverse colon, omentum, most of the small bowel, and stomach herniating into the left hemithorax. The patient underwent laparoscopic repair, involving the reduction of the herniated organs into the peritoneal cavity and tension-free primary closure with gastropexy without the use of mesh for reinforcement. The patient's postoperative course was uneventful, and complete recovery was achieved. This case report provides insights into the diagnosis and management of TDH, highlighting the importance of prompt recognition and appropriate surgical intervention in achieving successful outcomes.

摘要

创伤性膈疝(TDH)是一种由钝性或穿透性胸腹外伤导致的罕见病症,其特征是腹部器官通过破裂的膈肌突入胸腔。由于其临床表现多样,TDH常常面临诊断挑战。准确诊断依赖于影像学检查和手术探查,手术干预是主要的治疗方法。本病例报告重点介绍了一名因钝性胸腹外伤就诊于圣乔治医院的年轻患者。患者入院时出现不明原因的呼吸困难,影像学检查显示左半侧胸腔内有肠管疝入。腹腔镜探查证实左侧半膈肌撕裂,横结肠、大网膜、大部分小肠和胃疝入左半侧胸腔。患者接受了腹腔镜修补术,包括将疝入的器官回纳至腹腔,并进行无张力一期缝合加胃固定术,未使用补片加强。患者术后恢复顺利,实现了完全康复。本病例报告为TDH的诊断和治疗提供了见解,强调了及时识别和适当手术干预对取得成功治疗效果的重要性。

https://cdn.ncbi.nlm.nih.gov/pmc/blobs/0872/10369083/0dd629342f0b/cureus-0015-00000040959-i01.jpg

文献AI研究员

20分钟写一篇综述,助力文献阅读效率提升50倍。

立即体验

用中文搜PubMed

大模型驱动的PubMed中文搜索引擎

马上搜索

文档翻译

学术文献翻译模型,支持多种主流文档格式。

立即体验