Suppr超能文献

功能失调的隧道式血液透析导管评估及血管腔内挽救技术的结果:解决复杂问题的简单方法

Assessment of dysfunctional tunneled hemodialysis catheters and outcome of endovascular salvage techniques: a simple solution to a complex problem.

作者信息

Xu Tao, Zeng Ni, Li Nan

机构信息

Department of Interventional Radiology, Shenzhen People's Hospital, The Second Clinical Medical College, Jinan University, The First Affiliated Hospital, Southern University of Science and Technology.

Center for Translational Medicine, Institute of Precision Medicine, The First Affiliated Hospital, Sun Yat-sen University, Guangzhou, China.

出版信息

Front Cardiovasc Med. 2023 Aug 17;10:1063450. doi: 10.3389/fcvm.2023.1063450. eCollection 2023.

Abstract

OBJECTIVE

The aim of this study was to evaluate the causes of the dysfunctional tunneled cuffed catheters (TCCs) using multi-spiral computed tomography venography (MSCTV), and to analyze the outcomes of endovascular salvage techniques.

MATERIAL AND METHODS

This retrospective review data from 27 patients who experienced TCC dysfunction between July 1, 2016 and January 31, 2021 was conducted. Patients' demographic data, clinical signs and symptoms, and imaging data were collected from interventional radiology database.

RESULTS

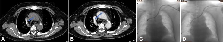
MSCTV showed a range of abnormalities in the hemodialysis (HD) patients, including central venous occlusion ( = 4), fibrin sheath formation ( = 3), malposition of the catheter tips ( = 4), central venous perforation ( = 1), thrombus formation ( = 12), regular catheter exchange without determined lesions ( = 3). Interventional catheter salvage procedures were performed, such as catheter exchange, balloon disruption of a fibrin sheath, angioplasty for central vein stenosis, and stent deployment. The technical success rate for catheter insertions was 100%, and no procedure-related severe complications were observed. The 30-day catheter patency for all assessable catheters was 85.2%.

CONCLUSION

The use of MSCTV showed abnormal findings in almost 88.9% of cases concerning dysfunctional TCC. In this study, the examined appropriate endovascular techniques were found to be safe and technically successful, with a low incidence of procedure-related complications.

摘要

目的

本研究旨在使用多排螺旋计算机断层扫描静脉造影(MSCTV)评估带隧道带涤纶套中心静脉导管(TCC)功能障碍的原因,并分析血管内挽救技术的效果。

材料与方法

对2016年7月1日至2021年1月31日期间27例出现TCC功能障碍的患者进行回顾性研究。从介入放射学数据库收集患者的人口统计学数据、临床症状和体征以及影像学数据。

结果

MSCTV显示血液透析(HD)患者存在一系列异常情况,包括中心静脉闭塞(=4例)、纤维蛋白鞘形成(=3例)、导管尖端位置异常(=4例)、中心静脉穿孔(=1例)、血栓形成(=12例)、无明确病变的常规导管更换(=3例)。实施了介入性导管挽救程序,如导管更换、纤维蛋白鞘球囊破坏、中心静脉狭窄血管成形术和支架置入术。导管插入的技术成功率为100%,未观察到与操作相关的严重并发症。所有可评估导管的30天导管通畅率为85.2%。

结论

MSCTV检查显示,在几乎88.9%的TCC功能障碍病例中存在异常表现。在本研究中,所检查的合适血管内技术被证明是安全且技术上成功的,与操作相关的并发症发生率较低。

https://cdn.ncbi.nlm.nih.gov/pmc/blobs/36d8/10471148/7df16ffe297f/fcvm-10-1063450-g001.jpg

文献AI研究员

20分钟写一篇综述,助力文献阅读效率提升50倍。

立即体验

用中文搜PubMed

大模型驱动的PubMed中文搜索引擎

马上搜索

文档翻译

学术文献翻译模型,支持多种主流文档格式。

立即体验