Caprioli Simone, Giordano Giorgio-Gregory, Pennacchi Alessia, Campagnari Valentina, Iandelli Andrea, Parrinello Giampiero, Conforti Cristina, Gili Riccardo, Giannini Edoardo, Marabotto Elisa, Kayali Stefano, Bianchi Bernardo, Peretti Giorgio, Cittadini Giuseppe, Marchi Filippo
Radiology Unit, IRCCS Ospedale Policlinico San Martino,16132 Genova, Italy.
Department of Internal Medicine and Medical Specialties, University of Genova, 16100 Genova, Italy.
Cancers (Basel). 2023 Sep 4;15(17):4413. doi: 10.3390/cancers15174413.
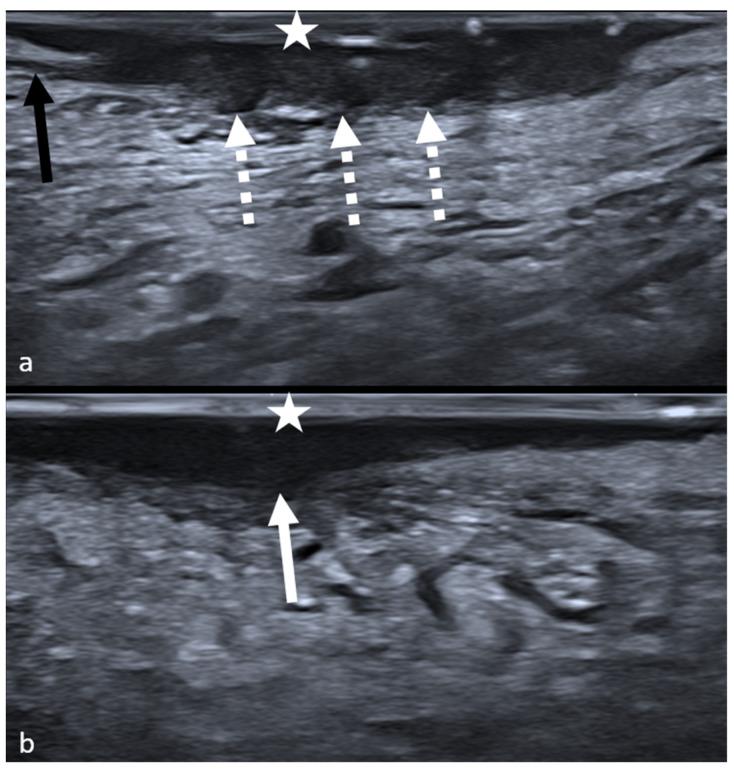
Despite advancements in multidisciplinary care, oncologic outcomes of oral cavity squamous cell carcinoma (OSCC) have not substantially improved: still, one-third of patients affected by stage I and II can develop locoregional recurrences. Imaging plays a pivotal role in preoperative staging of OSCC, providing depth of invasion (DOI) measurements. However, locoregional recurrences have a strong association with adverse histopathological factors not included in the staging system, and any imaging features linked to them have been lacking. In this study, the possibility to predict histological risk factors in OSCC with high-frequency intraoral ultrasonography (IOUS) was evaluated. Thirty-four patients were enrolled. The agreement between ultrasonographic and pathological DOI was evaluated, and ultrasonographic margins' appearance was compared to the Brandwein-Gensler score and the worst pattern of invasion (WPOI). Excellent agreement between ultrasonographic and pathological DOI was found (mean difference: 0.2 mm). A significant relationship was found between ultrasonographic morphology of the front of infiltration and both Brandwein-Gensler score ≥ 3 ( < 0.0001) and WPOI ≥4 ( = 0.0001). Sensitivity, specificity, positive predictive value, and negative predictive value for the IOUS to predict a Brandwein-Gensler score ≥3 were 93.33%, 89.47%, 87.50%, and 94.44%, respectively. The present study demonstrated the promising role of IOUS in aiding risk stratification for OSCC patients.
尽管多学科护理取得了进展,但口腔鳞状细胞癌(OSCC)的肿瘤学治疗效果并未得到实质性改善:仍有三分之一的I期和II期患者会出现局部区域复发。影像学在OSCC术前分期中起着关键作用,可提供浸润深度(DOI)测量值。然而,局部区域复发与分期系统中未包含的不良组织病理学因素密切相关,且与之相关的任何影像学特征一直缺失。在本研究中,评估了高频口腔内超声(IOUS)预测OSCC组织学危险因素的可能性。纳入了34例患者。评估了超声检查和病理DOI之间的一致性,并将超声边缘的表现与Brandwein-Gensler评分和最差浸润模式(WPOI)进行了比较。发现超声检查和病理DOI之间具有极佳的一致性(平均差异:0.2毫米)。发现浸润前沿的超声形态与Brandwein-Gensler评分≥3(<0.0001)和WPOI≥4(=0.0001)之间存在显著相关性。IOUS预测Brandwein-Gensler评分≥3的敏感性、特异性、阳性预测值和阴性预测值分别为93.33%、89.47%、87.50%和94.44%。本研究证明了IOUS在帮助OSCC患者进行风险分层方面具有广阔前景。