Suppr超能文献

肺上皮细胞免疫代谢调节诱导的抗菌线粒体活性氧物种

Antimicrobial mitochondrial reactive oxygen species induction by lung epithelial immunometabolic modulation.

机构信息

Department of Pulmonary Medicine, University of Texas MD Anderson Cancer Center, Houston, Texas, United States of America.

University of Texas MD Anderson Cancer Center UTHealth Graduate School of Biomedical Sciences, Houston, Texas, United States of America.

出版信息

PLoS Pathog. 2023 Sep 11;19(9):e1011138. doi: 10.1371/journal.ppat.1011138. eCollection 2023 Sep.

Abstract

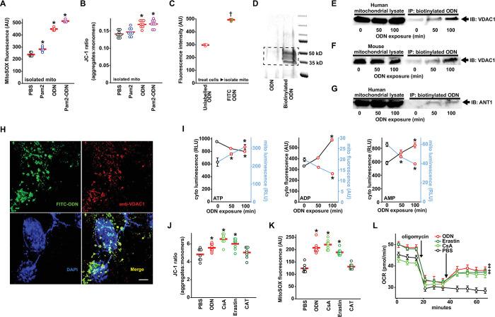
Pneumonia is a worldwide threat, making discovery of novel means to combat lower respiratory tract infection an urgent need. Manipulating the lungs' intrinsic host defenses by therapeutic delivery of certain pathogen-associated molecular patterns protects mice against pneumonia in a reactive oxygen species (ROS)-dependent manner. Here we show that antimicrobial ROS are induced from lung epithelial cells by interactions of CpG oligodeoxynucleotides (ODN) with mitochondrial voltage-dependent anion channel 1 (VDAC1). The ODN-VDAC1 interaction alters cellular ATP/ADP/AMP localization, increases delivery of electrons to the electron transport chain (ETC), increases mitochondrial membrane potential (ΔΨm), differentially modulates ETC complex activities and consequently results in leak of electrons from ETC complex III and superoxide formation. The ODN-induced mitochondrial ROS yield protective antibacterial effects. Together, these studies identify a therapeutic metabolic manipulation strategy to broadly protect against pneumonia without reliance on antibiotics.

摘要

肺炎是一种全球性威胁,因此迫切需要发现新的方法来对抗下呼吸道感染。通过治疗性递送来操纵肺部固有宿主防御,以活性氧 (ROS) 依赖的方式保护小鼠免受肺炎的侵害。在这里,我们表明 CpG 寡脱氧核苷酸 (ODN) 与线粒体电压依赖性阴离子通道 1 (VDAC1) 的相互作用会从肺上皮细胞中诱导出抗菌 ROS。ODN-VDAC1 相互作用改变细胞内 ATP/ADP/AMP 的定位,增加电子向电子传递链 (ETC) 的传递,增加线粒体膜电位 (ΔΨm),差异调节 ETC 复合物的活性,从而导致 ETC 复合物 III 的电子泄漏和超氧化物的形成。ODN 诱导的线粒体 ROS 产生保护抗菌作用。总之,这些研究确定了一种治疗代谢操纵策略,可以广泛保护免受肺炎,而不依赖抗生素。

https://cdn.ncbi.nlm.nih.gov/pmc/blobs/bffc/10522048/150d02d00b6b/ppat.1011138.g001.jpg

文献AI研究员

20分钟写一篇综述,助力文献阅读效率提升50倍。

立即体验

用中文搜PubMed

大模型驱动的PubMed中文搜索引擎

马上搜索

文档翻译

学术文献翻译模型,支持多种主流文档格式。

立即体验