Department of Biochemistry and Institute for Protein Design, University of Washington, Seattle, WA, 98195, USA.
Encodia Inc, 5785 Oberlin Drive, San Diego, CA, 92121, USA.
Nat Commun. 2023 Sep 13;14(1):5660. doi: 10.1038/s41467-023-41272-z.
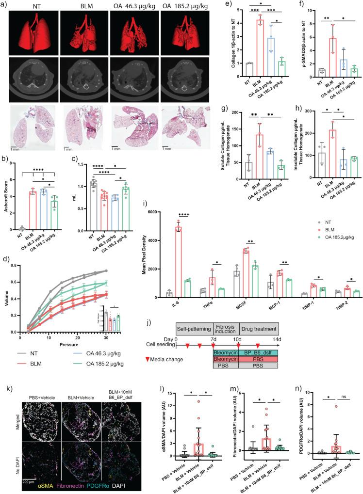
The RGD (Arg-Gly-Asp)-binding integrins αvβ6 and αvβ8 are clinically validated cancer and fibrosis targets of considerable therapeutic importance. Compounds that can discriminate between homologous αvβ6 and αvβ8 and other RGD integrins, stabilize specific conformational states, and have high thermal stability could have considerable therapeutic utility. Existing small molecule and antibody inhibitors do not have all these properties, and hence new approaches are needed. Here we describe a generalized method for computationally designing RGD-containing miniproteins selective for a single RGD integrin heterodimer and conformational state. We design hyperstable, selective αvβ6 and αvβ8 inhibitors that bind with picomolar affinity. CryoEM structures of the designed inhibitor-integrin complexes are very close to the computational design models, and show that the inhibitors stabilize specific conformational states of the αvβ6 and the αvβ8 integrins. In a lung fibrosis mouse model, the αvβ6 inhibitor potently reduced fibrotic burden and improved overall lung mechanics, demonstrating the therapeutic potential of de novo designed integrin binding proteins with high selectivity.
RGD(精氨酸-甘氨酸-天冬氨酸)结合整联蛋白 αvβ6 和 αvβ8 是经过临床验证的具有重要治疗意义的癌症和纤维化靶点。能够区分同源 αvβ6 和 αvβ8 以及其他 RGD 整联蛋白、稳定特定构象状态且具有高热稳定性的化合物可能具有重要的治疗用途。现有的小分子和抗体抑制剂并非都具有所有这些特性,因此需要新的方法。在这里,我们描述了一种用于计算设计针对单一 RGD 整联蛋白异二聚体和构象状态的含 RGD 的小型蛋白的通用方法。我们设计了超稳定、选择性的 αvβ6 和 αvβ8 抑制剂,其结合亲和力为皮摩尔级。设计抑制剂-整联蛋白复合物的 cryoEM 结构非常接近计算设计模型,并表明抑制剂稳定了 αvβ6 和 αvβ8 整联蛋白的特定构象状态。在肺纤维化小鼠模型中,αvβ6 抑制剂可强力降低纤维化负担并改善整体肺力学,证明了具有高选择性的新型设计整联蛋白结合蛋白具有治疗潜力。