Suppr超能文献

旋前型类盖氏骨折:一例报告。

Pronation-Type Galeazzi-Equivalent Fracture: A Case Report.

作者信息

Alahmari Ali M, Hafiz Haneen, Alfaidi Abdulrhman M, Ali Ahmed

机构信息

Orthopedics, King Fahad General Hospital, Jeddah, SAU.

Orthopedics, Security Forces Hospital, Makkah, SAU.

出版信息

Cureus. 2023 Aug 13;15(8):e43430. doi: 10.7759/cureus.43430. eCollection 2023 Aug.

Abstract

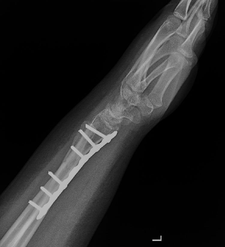
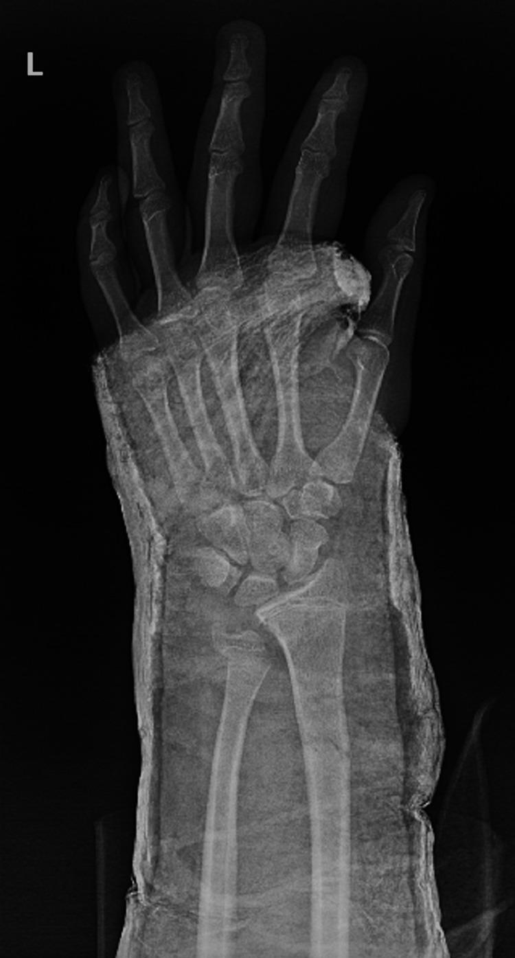
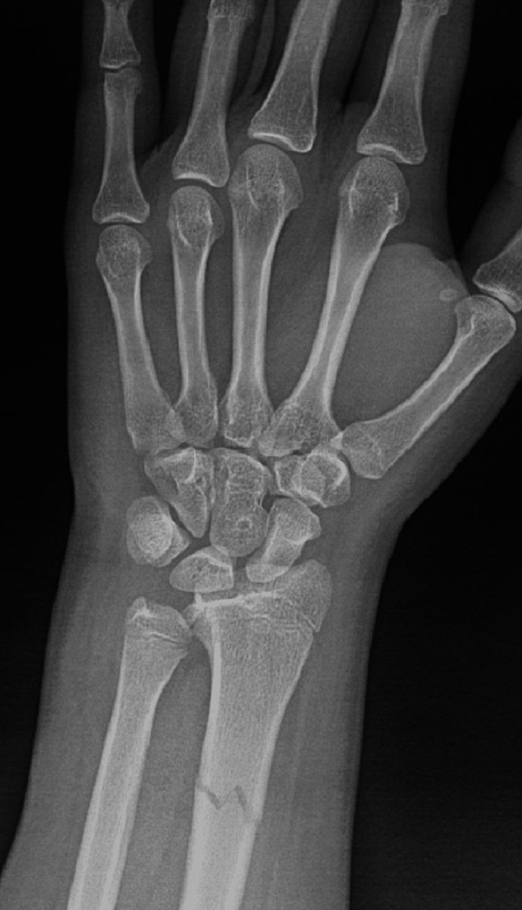
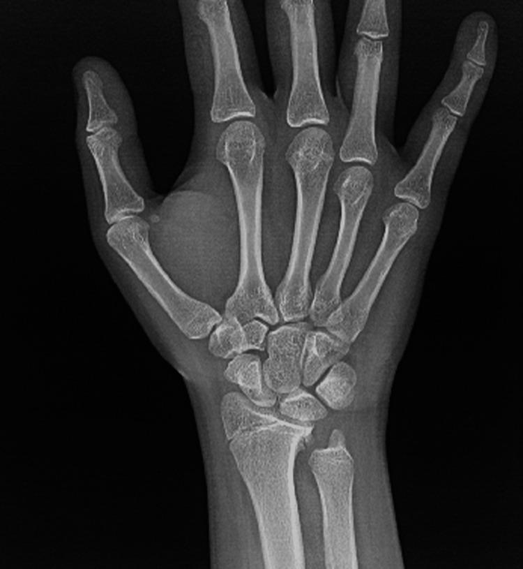
Fractures of the forearm are common among children and adolescents. Radial shaft fracture with dislocation of the distal radioulnar joint (DRUJ), called Galeazzi fracture, is unusual in pediatrics. The Galeazzi-equivalent fracture is a variant of the classic Galeazzi fracture that occurs in children and adolescents. It is a radius fracture associated with a distal ulnar displaced physeal injury without dislocation of the DRUJ. Our patient was a male, aged 15 years, who visited our emergency department after falling off a scooter onto his left hand. Left wrist X-rays showed a displaced Galeazzi-equivalent fracture. After a trial of close reduction, an X-ray showed a displaced and unstable fracture pattern. The patient was subsequently hospitalized for surgical intervention. Open reduction and internal fixation (ORIF) with a plate and screw were used for the radius fracture. The ulna fracture was irreducible; therefore, ORIF with two crossed smooth Kirschner wires (K-wires) was performed. Complete bone union was achieved, and he had a normal range of motion six months postoperatively. The patient is now able to perform daily and sports activities. At two-year follow-up, complications such as DRUJ instability or joint deformity did not occur. In conclusion, open reduction is desired for patients with malalignment or older patients who have a lower potential for sufficient bone remodeling. Regular serial follow-up sessions are required to assess growth arrest and the occurrence of other complications.

摘要

前臂骨折在儿童和青少年中很常见。桡骨干骨折合并下尺桡关节(DRUJ)脱位,即盖氏骨折,在儿科中并不常见。类盖氏骨折是经典盖氏骨折的一种变体,发生于儿童和青少年。它是一种桡骨骨折,伴有尺骨远端骨骺移位损伤,而DRUJ无脱位。我们的患者是一名15岁男性,骑滑板车时左手着地后前来我院急诊科就诊。左手腕X线片显示为移位的类盖氏骨折。试行闭合复位后,X线片显示骨折移位且不稳定。患者随后住院接受手术治疗。桡骨骨折采用钢板螺钉切开复位内固定(ORIF)。尺骨骨折无法复位;因此,采用两根交叉光滑克氏针(K针)进行ORIF。术后6个月实现了完全骨愈合,患者活动范围正常。患者现在能够进行日常和体育活动。在两年的随访中,未出现DRUJ不稳定或关节畸形等并发症。总之,对于骨折对位不良的患者或骨重塑潜力较低的年长患者,需要进行切开复位。需要定期进行系列随访,以评估生长停滞和其他并发症的发生情况。

https://cdn.ncbi.nlm.nih.gov/pmc/blobs/1b2b/10497229/bb6f6fe1fcf1/cureus-0015-00000043430-i01.jpg

文献AI研究员

20分钟写一篇综述,助力文献阅读效率提升50倍。

立即体验

用中文搜PubMed

大模型驱动的PubMed中文搜索引擎

马上搜索

文档翻译

学术文献翻译模型,支持多种主流文档格式。

立即体验