Suppr超能文献

甲状腺乳头状癌细胞学上的实性/小梁状亚型伴组织学上局灶性分化型高级别甲状腺癌:细胞-组织学相关性

Solid/trabecular subtype of papillary thyroid carcinoma on cytology with focal differentiated high-grade thyroid carcinoma on histology: a cyto-histologic correlation.

作者信息

Rath Ashutosh, Prabhala Shailaja, Somalwar Shrinivas Bheemrao, Pradeep Immanuel, Singh Namit Kant

机构信息

Department of Pathology and Laboratory Medicine, All India Institute of Medical Sciences Bibinagar, Hyderabad 508126, Telangana, India.

Department of Otorhinolaryngology, All India Institute of Medical Sciences Bibinagar, Hyderabad 508126, Telangana, India.

出版信息

Ecancermedicalscience. 2023 Aug 10;17:1587. doi: 10.3332/ecancer.2023.1587. eCollection 2023.

Abstract

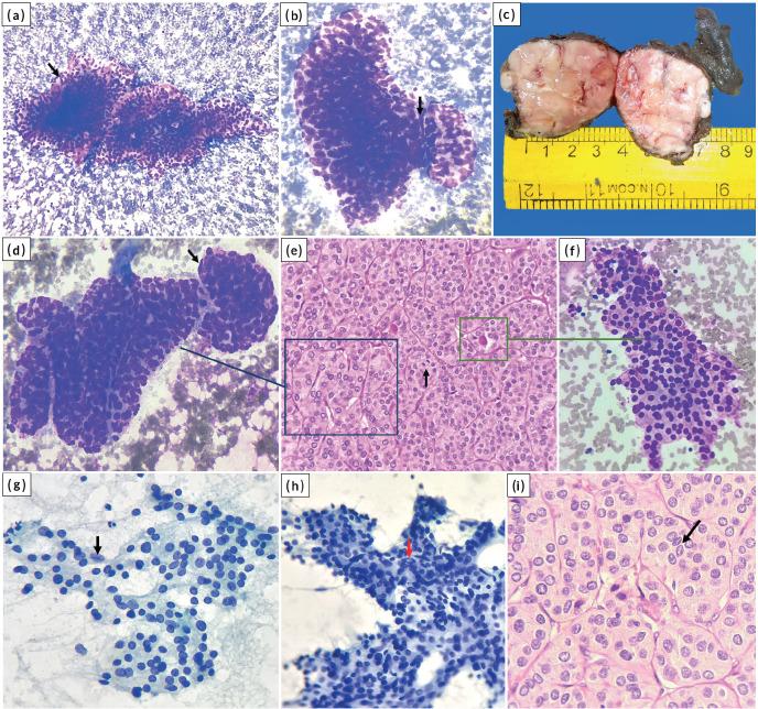
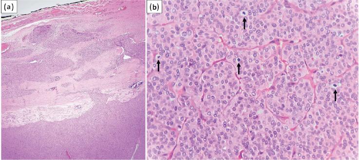
Solid/trabecular subtype of papillary thyroid carcinoma (S/T PTC) is a rare entity that has been shown to have higher tumour recurrence and mortality rates. A definite diagnosis on fine needle aspiration cytology is often not easy. Rather, this entity may be misdiagnosed in cytology due to a lack of widespread features of classic PTC. We present a case of S/T PTC in a 61-year-old female, showing a focus on differentiated high-grade thyroid carcinoma (DHGTC) on histology. We discuss cytological features with the histologic correlation of S/T PTC and briefly discuss the newly introduced entity, DHGTC.

摘要

甲状腺乳头状癌实性/小梁状亚型(S/T PTC)是一种罕见的病理类型,其肿瘤复发率和死亡率较高。细针穿刺细胞学检查往往难以做出明确诊断。相反,由于缺乏经典PTC的广泛特征,该病理类型在细胞学检查中可能会被误诊。我们报告一例61岁女性的S/T PTC病例,组织学显示为分化型高级别甲状腺癌(DHGTC)。我们讨论了S/T PTC的细胞学特征及其与组织学的相关性,并简要讨论了新引入的病理类型DHGTC。

https://cdn.ncbi.nlm.nih.gov/pmc/blobs/1e2e/10550291/690a973df9e5/can-17-1587fig1.jpg

文献AI研究员

20分钟写一篇综述,助力文献阅读效率提升50倍。

立即体验

用中文搜PubMed

大模型驱动的PubMed中文搜索引擎

马上搜索

文档翻译

学术文献翻译模型,支持多种主流文档格式。

立即体验