Suppr超能文献

结节性硬化症合并双侧肾血管平滑肌脂肪瘤及左肾动脉动脉瘤:病例报告及文献复习

Bilateral renal angiomyolipoma with left renal artery aneurysm in tuberous sclerosis: case report and literature review.

作者信息

Barabrah Anas M, Dukmak Osama N, Toukan Anas R, Dabbas Fida' M, Emar Mohammad, Rajai Alhusseini

机构信息

Faculty of Medicine, Al-Quds University, Jerusalem.

Al-Ahli Hospital, Hebron, Palestine.

出版信息

Ann Med Surg (Lond). 2023 Aug 14;85(10):5113-5116. doi: 10.1097/MS9.0000000000001157. eCollection 2023 Oct.

Abstract

INTRODUCTION AND IMPORTANCE

Tuberous sclerosis disorder (TSD) is a rare genetic disease that causes abnormal growths or tumors in various organs of the body. They are usually benign and asymptomatic. However, severe, rapidly growing tuberous sclerosis can be fatal. Renal angiomyolipomas are commonly associated with TSD, which can be further worsened by the presence of aneurysms and put the patient at risk for life-threatening hemorrhage.

CASE PRESENTATION

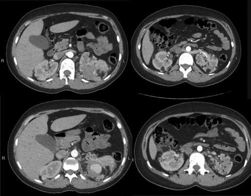
A 29-year-old female presented to the emergency room complaining of right flank pain with an unknown past medical history of tuberous sclerosis. The patient was suspected to have TSD as she fulfilled one of the major features of TSD required to establish a possible diagnosis. On computed tomography scan imaging, bilateral fat-density nodules were revealed in both kidneys. The largest is 7 cm in the left kidney, located at the upper pole, and was associated with a bleeding aneurysm measuring 4 cm in diameter. While the other fatty nodule was recorded at 6 cm in the right kidney at the lower pole.

CLINICAL DISCUSSION

After evaluation, the patient was planned for diagnostic catheterization of the left kidney, through which selective angiography of the left kidney was done, and eventually, selective embolization of the branch supplying the left angiomyolipoma was performed.

CONCLUSION

The authors finally conclude that thorough investigations, including systemic manifestations, must be taken into consideration when suspecting tuberous sclerosis, and a conservative approach must always be prioritized before taking any decision toward invasive approaches.

摘要

引言与重要性

结节性硬化症(TSD)是一种罕见的遗传性疾病,可导致身体各器官出现异常生长或肿瘤。这些通常是良性且无症状的。然而,严重的、快速生长的结节性硬化症可能是致命的。肾血管平滑肌脂肪瘤通常与TSD相关,动脉瘤的存在会使其进一步恶化,使患者面临危及生命的出血风险。

病例介绍

一名29岁女性因右胁腹疼痛就诊于急诊室,其既往结节性硬化症病史不明。由于该患者符合确立可能诊断所需的TSD主要特征之一,故怀疑其患有TSD。在计算机断层扫描成像中,双侧肾脏均显示出脂肪密度结节。左肾最大的结节位于上极,直径7厘米,伴有一个直径4厘米的出血性动脉瘤。而右肾下极的另一个脂肪结节记录为6厘米。

临床讨论

经评估后,计划对该患者进行左肾诊断性导管插入术,通过该操作对左肾进行选择性血管造影,最终对供应左肾血管平滑肌脂肪瘤的分支进行选择性栓塞。

结论

作者最终得出结论,在怀疑结节性硬化症时,必须考虑包括全身表现在内的全面检查,在决定采取任何侵入性方法之前,始终应优先采取保守方法。

https://cdn.ncbi.nlm.nih.gov/pmc/blobs/0adb/10553073/9e345d355719/ms9-85-5113-g001.jpg

文献AI研究员

20分钟写一篇综述,助力文献阅读效率提升50倍。

立即体验

用中文搜PubMed

大模型驱动的PubMed中文搜索引擎

马上搜索

文档翻译

学术文献翻译模型,支持多种主流文档格式。

立即体验