Suppr超能文献

VirtMRI:一个用于磁共振成像教学的工具。

VirtMRI: A Tool for Teaching MRI.

机构信息

Computer Assisted Clinical Medicine, Medical Faculty Mannheim, Heidelberg University, Mannheim, 68167, Germany.

Mannheim Institute for Intelligent Systems in Medicine, Medical Faculty Mannheim, Heidelberg University, Mannheim, 68167, Germany.

出版信息

J Med Syst. 2023 Oct 25;47(1):110. doi: 10.1007/s10916-023-02004-4.

Abstract

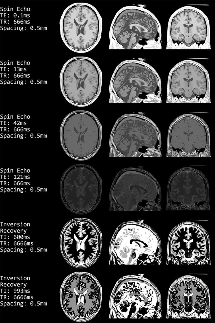
Magnetic resonance image formation is not trivial and remains a difficult subject for teaching. Therefore, we saw an urgent need to facilitate teaching by developing a practical and easily accessible MR image generator. Due to the increasing interest in X-nuclei MRI, sodium image generation is also offered. The tool is implemented as a web application that is compatible with all standard desktop browsers and is open source. The user interface focuses on the parameters needed for the creation and display of the resulting images. Available MR sequences range from the standard Spin Echo and Inversion Recovery over steady-state to conventional sodium and more advanced single and triple quantum sequences. Additionally, the user interface has parameters to alter the resolution, the noise, and the k-space sampling. Our software is free to use and specifically suited for teaching purposes.

摘要

磁共振成像是一项不简单的任务,并且仍然是一个难以教授的主题。因此,我们认为有必要通过开发一个实用且易于访问的磁共振图像生成器来促进教学。由于对 X 核 MRI 的兴趣日益增加,我们还提供了钠图像生成功能。该工具作为一个网络应用程序实现,与所有标准桌面浏览器兼容,并且是开源的。用户界面侧重于创建和显示结果图像所需的参数。可用的磁共振序列范围从标准的自旋回波和反转恢复到稳态,再到常规的钠和更先进的单量子和三量子序列。此外,用户界面还有用于改变分辨率、噪声和 k 空间采样的参数。我们的软件是免费使用的,特别适合教学用途。

https://cdn.ncbi.nlm.nih.gov/pmc/blobs/3cff/10600316/424721f16de2/10916_2023_2004_Fig1_HTML.jpg

文献检索

告别复杂PubMed语法,用中文像聊天一样搜索,搜遍4000万医学文献。AI智能推荐,让科研检索更轻松。

立即免费搜索

文件翻译

保留排版,准确专业,支持PDF/Word/PPT等文件格式,支持 12+语言互译。

免费翻译文档

深度研究

AI帮你快速写综述,25分钟生成高质量综述,智能提取关键信息,辅助科研写作。

立即免费体验