Suppr超能文献

二十年过去了——脱矿牙本质基质自体移植用于上颌窦骨增量的病例报告——人类首例牙本质移植病例

Twenty Years-Passed Case of Demineralized Dentin Matrix Autograft for Sinus Bone Augmentation - A First Case of Dentin Graft in Human.

作者信息

Murata Masaru, Hirose Yukito, Ochi Morio, Tazaki Junichi, Okubo Naoto, Akazawa Toshiyuki

机构信息

Division of Regenerative Medicine, School of Dentistry, Health Sciences University of Hokkaido, Japan.

Division of Fixed Prosthodontics and Oral Implantology, School of Dentistry, Health Sciences University of Hokkaido, Japan.

出版信息

J Clin Exp Dent. 2023 Oct 1;15(10):e861-e865. doi: 10.4317/jced.60912. eCollection 2023 Oct.

Abstract

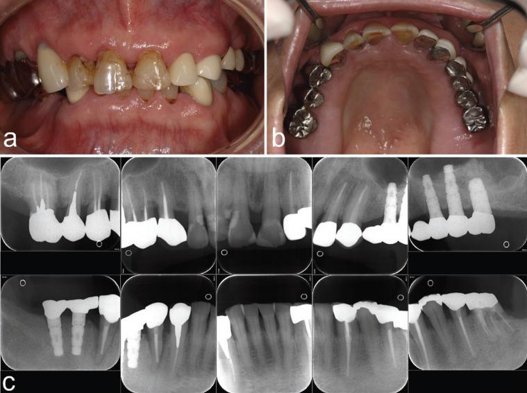
This report presents a 20-year follow-up of a unique case involving a 46-year-old man who underwent sinus augmentation using autogenous demineralized dentin matrix (DDM) derived from non-functional teeth. Two extracted molars were crashed into granules, and then demineralized, freeze-dried, and stored at -80° for approximately one year. The stocked DDM granules were grafted into the sinus along with platelet-rich plasma, without the use of any membrane. Radiographic evidence at 1 month after the graft demonstrated successful harmonization of the augmented tissues with the atrophic maxilla, as shown by the increase in radiopaque dots. Computed tomography scans taken 5 months post-procedure revealed clear sinuses devoid of inflammation, significant bone formation, and a smooth buccal side outline. Bone biopsies at 5 months were carried out from the implant sites, and three fixtures were placed into the augmented bone. The biopsy tissues confirmed the presence of continuous trabecular bone linked with DDM, with new bone formation observed on it. A comparison of the dental X-ray images taken in 2009 and those captured in 2021 indicated minimal change in the outline of the new bone formed near the fixture-necks through the DDM graft and successful placement of dental implants was achieved. Based on this long-term case study, it is suggested that autogenous DDM graft could serve as a minimally invasive alternative for sinus bone augmentation without invasive bone harvesting and the associated morbidities. Atrophic maxilla, autograft, bone, dentin, demineralized dentin matrix, sinus augmentation, teeth.

摘要

本报告介绍了一例独特病例的20年随访情况,该病例为一名46岁男性,他使用源自无功能牙齿的自体脱矿牙本质基质(DDM)进行了鼻窦增高术。将两颗拔除的磨牙粉碎成颗粒,然后进行脱矿、冻干,并在-80°下储存约一年。将储存的DDM颗粒与富血小板血浆一起植入鼻窦,未使用任何膜。移植后1个月的影像学证据显示,增强组织与萎缩性上颌骨成功融合,表现为不透射线的小点增加。术后5个月进行的计算机断层扫描显示鼻窦清晰,无炎症,有明显的骨形成,颊侧轮廓光滑。在5个月时从种植部位进行骨活检,并将三个种植体植入增强骨中。活检组织证实存在与DDM相连的连续小梁骨,并在其上观察到新骨形成。对2009年和2021年拍摄的牙科X线图像进行比较,结果表明通过DDM移植在种植体颈部附近形成的新骨轮廓变化最小,并且成功植入了牙种植体。基于这一长期病例研究,提示自体DDM移植可作为鼻窦骨增高的微创替代方法,无需进行侵入性骨采集及相关并发症。萎缩性上颌骨、自体移植、骨、牙本质、脱矿牙本质基质、鼻窦增高、牙齿。

https://cdn.ncbi.nlm.nih.gov/pmc/blobs/95f1/10625678/ade5fae44e17/jced-15-e861-g001.jpg

相似文献

1
Twenty Years-Passed Case of Demineralized Dentin Matrix Autograft for Sinus Bone Augmentation - A First Case of Dentin Graft in Human.
J Clin Exp Dent. 2023 Oct 1;15(10):e861-e865. doi: 10.4317/jced.60912. eCollection 2023 Oct.
4
The clinical efficacy of the allogenic demineralized dentin matrix graft for implant placement: a systematic review.
Oral Maxillofac Surg. 2024 Jun;28(2):585-593. doi: 10.1007/s10006-023-01170-6. Epub 2023 Jun 30.
7
Effect of maxillary sinus augmentation on the survival of endosseous dental implants. A systematic review.
Ann Periodontol. 2003 Dec;8(1):328-43. doi: 10.1902/annals.2003.8.1.328.
8
Volumetric changes after sinus augmentation using blocks of autogenous iliac bone or freeze-dried allogeneic bone. A non-randomized study.
J Craniomaxillofac Surg. 2014 Mar;42(2):113-8. doi: 10.1016/j.jcms.2013.03.004. Epub 2013 May 28.
9
Short-term healing of autogenous and allogeneic bone grafts after sinus augmentation: a report of 2 cases.
J Periodontol. 1994 Oct;65(10):958-66. doi: 10.1902/jop.1994.65.10.958.

引用本文的文献

1
Histological Analysis of Sticky Tooth and Sticky Bone.
J Funct Biomater. 2025 Jun 25;16(7):233. doi: 10.3390/jfb16070233.
2
Insights into Sinus-Lift Bone Grafting Materials: What's Changed?
J Funct Biomater. 2025 Apr 7;16(4):133. doi: 10.3390/jfb16040133.
3
Maxillary Sinus Augmentation with Autogenous Tooth Grafting Material: A Systematic Review.
Biomimetics (Basel). 2024 Aug 29;9(9):518. doi: 10.3390/biomimetics9090518.

本文引用的文献

2
Human dentin materials for minimally invasive bone regeneration: Animal studies and clinical cases.
J Oral Biosci. 2023 Mar;65(1):13-18. doi: 10.1016/j.job.2022.10.003. Epub 2022 Nov 3.
5
Evaluation of Bone Density in Sinus Elevation by Using Allograft and Xenograft: A CBCT Study.
Int J Oral Maxillofac Implants. 2022 Jan-Feb;37(1):114-119. doi: 10.11607/jomi.9116.
8
Bone Regeneration Using Dentin Matrix Depends on the Degree of Demineralization and Particle Size.
PLoS One. 2016 Jan 21;11(1):e0147235. doi: 10.1371/journal.pone.0147235. eCollection 2016.

文献AI研究员

20分钟写一篇综述,助力文献阅读效率提升50倍。

立即体验

用中文搜PubMed

大模型驱动的PubMed中文搜索引擎

马上搜索

文档翻译

学术文献翻译模型,支持多种主流文档格式。

立即体验