Han Haibo, Ding Guangyu, Wang Shanshan, Meng Junling, Lv Yunwei, Yang Wei, Zhang Hong, Wen Xianzi, Zhao Wei
Department of Clinical Laboratory, Key Laboratory of Carcinogenesis and Translational Research (Ministry of Education), Peking University Cancer Hospital & Institute, Beijing 100142, China.
Department of Gastric Surgery, Zhejiang Cancer Hospital, Hangzhou 310022, China.
Cancers (Basel). 2023 Nov 7;15(22):5313. doi: 10.3390/cancers15225313.
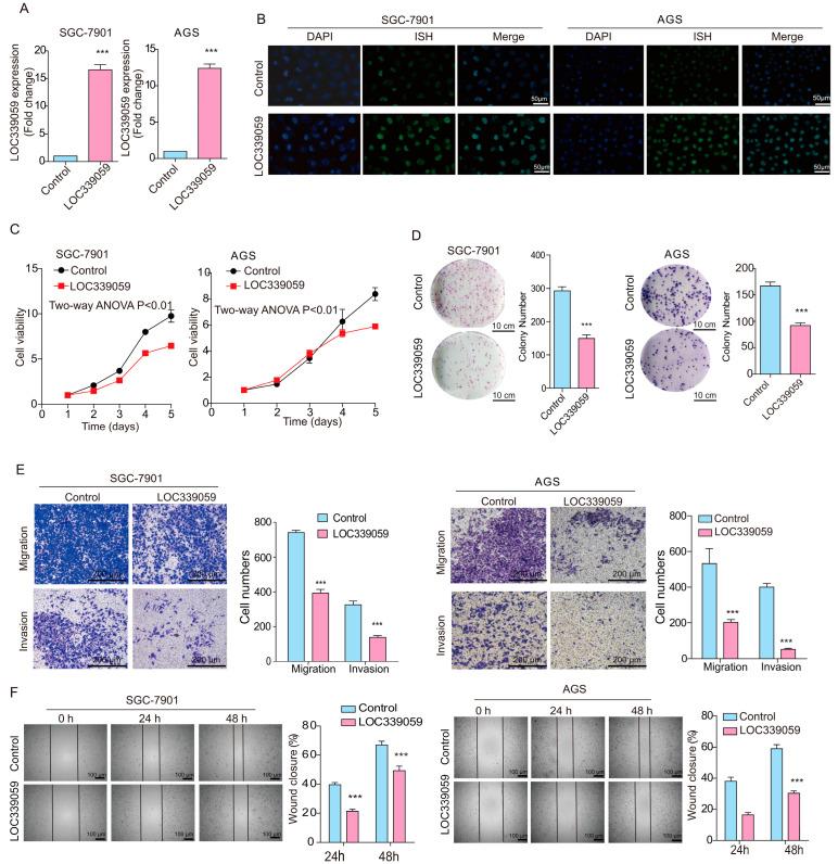
Long non-coding RNA (lncRNA) was identified as a novel diagnostic biomarker in gastric cancer (GC). However, the functions of lncRNAs in immuno-microenvironments have not been comprehensively explored. In this study, we explored a critical lncRNA, LOC339059, that can predict the clinical prognosis in GC related to the modulation of PD-L1 and determined its influence upon macrophage polarization via the IL-6/STAT3 pathway. To date, accumulating evidence has demonstrated that the dysregulation of LOC339059 plays an important role in the pathological processes of GC. It acts as a tumor suppressor, regulating GC cell proliferation, migration, invasion, tumorigenesis, and metastasis. A flow cytometry assay showed that the loss of LOC339059 enhanced PDL1 expression and M2 macrophage polarization. RNA sequencing, RNA pull-down, RNA immunoprecipitation, Chip-PCR, and a luciferase reporter assay revealed the pivotal role of signaling alternation between LOC339059 and c-Myc. A lower level of LOC339059 RNA was found in primary GC tissues compared to adjacent tissues, and such a lower level is associated with a poorer survival period (2.5 years) after surgery in patient cohorts. Moreover, we determined important immunological molecular biomarkers. We found that LOC339059 expression was correlated with PD-L1, CTLA4, CD206, and CD204, but not with TIM3, FOXP3, CD3, C33, CD64, or CD80, in a total of 146 GC RNA samples. The gain of LOC339059 in SGC7901 and AGS inhibited biological characteristics of malignancy, such as proliferation, migration, invasion, tumorigenesis, and metastasis. Furthermore, our data gathered following the co-culture of THP-1 and U937 with genomic GC cells indicate that LOC339059 led to a reduction in the macrophage cell ratio, in terms of CD68/CD206, to 1/6, whereas the selective knockdown of LOC339059 promoted the abovementioned malignant cell phenotypes, suggesting that it has a tumor-suppressing role in GC. RNA-Seq analyses showed that the gain of LOC339059 repressed the expression of the interleukin family, especially IL-6/STAT3 signaling. The rescue of IL-6 in LOC339059-overexpressing cells reverted the inhibitory effects of the gain of LOC339059 on malignant cell phenotypes. Our experiments verified that the interaction between LOC339059 and c-Myc resulted in less c-Myc binding to the IL-6 promoter, leading to the inactivation of IL-6 transcription. Our results establish that LOC339059 acts as a tumor suppressor in GC by competitively inhibiting c-Myc, resulting in diminished IL-6/STAT3-signaling-mediated PDL1 expression and macrophage M2 polarization.
长链非编码RNA(lncRNA)被确定为胃癌(GC)中的一种新型诊断生物标志物。然而,lncRNAs在免疫微环境中的功能尚未得到全面探索。在本研究中,我们探索了一种关键的lncRNA,即LOC339059,它可以通过调节PD-L1来预测GC的临床预后,并确定其通过IL-6/STAT3途径对巨噬细胞极化的影响。迄今为止,越来越多的证据表明LOC339059的失调在GC的病理过程中起重要作用。它作为一种肿瘤抑制因子,调节GC细胞的增殖、迁移、侵袭、肿瘤发生和转移。流式细胞术分析表明,LOC339059的缺失增强了PDL1表达和M2巨噬细胞极化。RNA测序、RNA下拉、RNA免疫沉淀、芯片PCR和荧光素酶报告基因分析揭示了LOC339059与c-Myc之间信号转导的关键作用。与相邻组织相比,原发性GC组织中LOC339059 RNA水平较低,且这种较低水平与患者队列手术后较差的生存期(2.5年)相关。此外,我们确定了重要的免疫分子生物标志物。我们发现,在总共146个GC RNA样本中,LOC339059的表达与PD-L1、CTLA4、CD206和CD204相关,但与TIM3、FOXP3、CD3、C33、CD64或CD80无关。在SGC7901和AGS中过表达LOC339059抑制了恶性生物学特性,如增殖、迁移、侵袭、肿瘤发生和转移。此外,我们在THP-1和U937与基因组GC细胞共培养后收集的数据表明,LOC339059导致巨噬细胞比例(以CD68/CD206计)降低至1/6,而选择性敲低LOC339059则促进了上述恶性细胞表型,表明它在GC中具有肿瘤抑制作用。RNA-Seq分析表明,过表达LOC339059会抑制白细胞介素家族的表达,尤其是IL-6/STAT3信号通路。在过表达LOC339059的细胞中补充IL-6可逆转过表达LOC339059对恶性细胞表型的抑制作用。我们的实验证实,LOC339059与c-Myc之间的相互作用导致c-Myc与IL-6启动子的结合减少,从而导致IL-6转录失活。我们的结果表明,LOC339059在GC中作为肿瘤抑制因子,通过竞争性抑制c-Myc,导致IL-6/STAT3信号介导的PDL1表达和巨噬细胞M2极化减弱。