Suppr超能文献

叶对葡聚糖硫酸钠(DSS)诱导的大鼠溃疡性结肠炎的预防结肠保护作用。

Prophylactic Coloprotective Effect of Leaves against Dextran Sulfate Sodium (DSS)-Induced Ulcerative Colitis in Rats.

机构信息

Laboratory of Functional Physiology and Valorization of Bio-Ressources, Higher Institute of Biotechnology of Beja, University of Jendouba, Beja 382-9000, Tunisia.

出版信息

Medicina (Kaunas). 2023 Nov 12;59(11):1990. doi: 10.3390/medicina59111990.

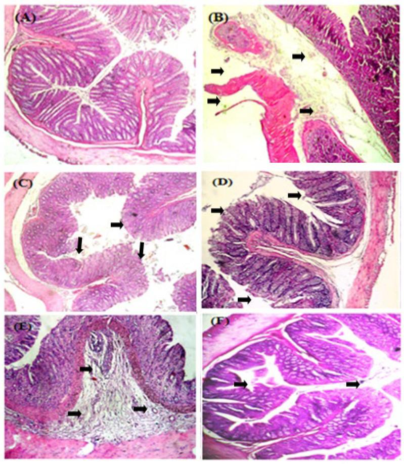
Abstract

: , a source of bioactive functional compounds, provides nutritional and gastrointestinal therapeutic benefits. This study attempted to investigate the prophylactic coloprotective action of an aqueous extract of (AEUD) on dextran sulfate sodium (DSS)-induced ulcerative colitis (UC). : Phenolic compounds, total sugar, and mineral levels were determined in AEUD. Then, AEUD at different doses (50, 100, and 200 mg/kg, BW, p.o.) and mesalazine (MESA) as a standard treatment (100 mg/kg, BW, p.o.) were given orally for 21 days. Acute colitis was induced by administering drinking water with 5% (/) DSS for 7 days. Body weight variation, fecal occult blood, and stool consistency were determined daily. The severity of colitis was graded according to colon length, disease activity index (DAI), histological evaluations, and biochemical alterations. Rats orally administered DSS regularly developed clinical and macroscopic signs of colitis. : Due to its richness in phenolic and flavonoid compounds (247.65 ± 2.69 mg EAG/g MS and 34.08 ± 0.53 mg EQt/g MS, respectively), AEUD markedly ameliorated DAI, ulcer scores, colon length shortening, colonic histopathological changes, and hematological and biochemical modifications. Taken together, AEUD treatment notably ( < 0.01) suppressed DSS-induced UC by reducing oxidative stress via lowering MDA/HO production and stimulating the effect of enzyme antioxidants as well as attenuating inflammation by decreasing CRP levels by 79.5% between the DSS and DSS + AEUD-50 groups compared to the MESA group (75.6%). : AEUD was sufficient to exert a coloprotective effect that might be influenced by its bioactive compounds' anti-inflammatory and antioxidant capabilities.

摘要

水飞蓟提取物对葡聚糖硫酸钠诱导的溃疡性结肠炎的预防作用

水飞蓟是生物活性功能化合物的来源,可提供营养和胃肠道治疗益处。本研究试图探讨水飞蓟提取物(AEUD)对葡聚糖硫酸钠(DSS)诱导的溃疡性结肠炎(UC)的预防结肠保护作用。:测定 AEUD 中的酚类化合物、总糖和矿物质水平。然后,以不同剂量(50、100 和 200 mg/kg,BW,po)和 5%(/)DSS 饮用水连续 7 天灌胃诱导急性结肠炎,给予 AEUD(po)和作为标准治疗的美沙拉嗪(MESA)(100 mg/kg,BW,po),连续 21 天。每天测定体重变化、粪便潜血和粪便稠度。根据结肠长度、疾病活动指数(DAI)、组织学评估和生化改变对结肠炎的严重程度进行分级。定期给予 DSS 口服的大鼠表现出临床和宏观结肠炎的特征。:由于其富含酚类和类黄酮化合物(分别为 247.65±2.69 mg EAG/g MS 和 34.08±0.53 mg EQt/g MS),AEUD 显著改善了 DAI、溃疡评分、结肠长度缩短、结肠组织病理学变化以及血液和生化改变。综上所述,AEUD 治疗通过降低 MDA/HO 的产生和刺激抗氧化酶的作用来减轻氧化应激,通过将 CRP 水平降低 79.5%(与 MESA 组相比,在 DSS 和 DSS+AEUD-50 组之间),从而显著(<0.01)抑制了 DSS 诱导的 UC。:AEUD 具有发挥结肠保护作用的能力,这可能与其生物活性化合物的抗炎和抗氧化能力有关。

https://cdn.ncbi.nlm.nih.gov/pmc/blobs/68ea/10673539/76e9b1f5983c/medicina-59-01990-g001.jpg

文献AI研究员

20分钟写一篇综述,助力文献阅读效率提升50倍。

立即体验

用中文搜PubMed

大模型驱动的PubMed中文搜索引擎

马上搜索

文档翻译

学术文献翻译模型,支持多种主流文档格式。

立即体验