Suppr超能文献

产后耻骨联合破裂延迟固定术后的手术并发症模式:5例报告

Patterns of surgical complications after delayed fixation of peripartum pubic symphysis rupture: a report of 5 cases.

作者信息

Doroszewski Grzegorz, Wasielewski Jan, Bartosz Paweł, Caban Adam, Scholz Anna, Białecki Jerzy

机构信息

Centre of Postgraduate Medical Education, Pelvic Injury and Pathology Department, Konarskiego 13, 05-400, Otwock, Poland.

Centre of Postgraduate Medical Education, 1st Department of Obstetrics and Gynecology, Żelazna 90, Warsaw, 01-004, Poland.

出版信息

Patient Saf Surg. 2023 Dec 7;17(1):30. doi: 10.1186/s13037-023-00381-w.

Abstract

BACKGROUND

The disruption of the pubic symphysis during the peripartum period is a rare injury to the pelvic ring. In most cases, conservative treatment is successful. Nonetheless, there are cases where surgical intervention is necessary. We analyzed five surgical cases treated in our department and performed a literature review.

CASE PRESENTATIONS

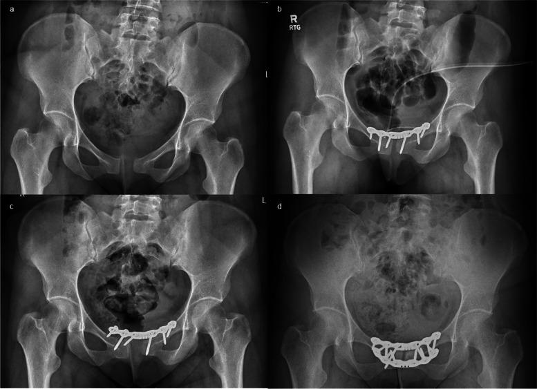
Five women, ranging in age from 25 to 38, who experienced peripartum symphysis rupture were primarily treated with a conservative approach. Patients who did not show improvement and met certain criteria, such as experiencing pain starting from childbirth, having a separation in the pubic bone of more than 10 mm, and/or having a vertical instability greater than 5 mm, were recommended to undergo surgery. The average length of time between childbirth and surgery was 5.6 months, ranging from 1 to 14 months. One patient was treated with an external fixator, another patient received a combination of an external fixator and an anterior plate, and three patients were treated with anterior plates. In four cases, we observed a failure in fixation and a partial or complete loss of reduction. The plate and screws were removed in one case, and in three cases, revision surgery was performed. One case involved using a larger plate, while the other used 90-90 plating, known as "box plate fixation." The mean follow-up was 7.4 years. Two cases had good results, and two had excellent results on the Lindahl scale.

CONCLUSION

For patients with peripartum pubic symphyseal dislocation, our case series and literature review demonstrated that early reduction and fixation correlate with improved clinical outcomes and lower implant failure. For patients with subacute/chronic injuries, there was a higher incidence of implant failure. Orthogonal plate fixation and/or pubic symphysiodesis was associated with improved clinical outcomes.

摘要

背景

围产期耻骨联合分离是一种罕见的骨盆环损伤。大多数情况下,保守治疗是成功的。然而,也有一些病例需要手术干预。我们分析了我科治疗的5例手术病例并进行了文献综述。

病例介绍

5名年龄在25至38岁之间的围产期耻骨联合破裂女性最初采用保守治疗。未显示改善且符合某些标准的患者,如自分娩起就经历疼痛、耻骨分离超过10毫米和/或垂直不稳定大于5毫米,被建议接受手术。分娩至手术的平均时间为5.6个月,范围为1至14个月。1例患者采用外固定架治疗,另1例患者接受外固定架和前路钢板联合治疗,3例患者采用前路钢板治疗。4例中,我们观察到固定失败以及部分或完全复位丢失。1例取出了钢板和螺钉,3例进行了翻修手术。1例使用了更大的钢板,另1例使用了90-90钢板固定,即“盒式钢板固定”。平均随访7.4年。根据林达尔量表,2例效果良好,2例效果极佳。

结论

对于围产期耻骨联合脱位患者,我们的病例系列和文献综述表明,早期复位和固定与改善临床结果及降低植入物失败率相关。对于亚急性/慢性损伤患者,植入物失败的发生率较高。正交钢板固定和/或耻骨联合固定术与改善临床结果相关。

https://cdn.ncbi.nlm.nih.gov/pmc/blobs/beef/10704830/aa0fec88c2a9/13037_2023_381_Fig1_HTML.jpg

文献AI研究员

20分钟写一篇综述,助力文献阅读效率提升50倍。

立即体验

用中文搜PubMed

大模型驱动的PubMed中文搜索引擎

马上搜索

文档翻译

学术文献翻译模型,支持多种主流文档格式。

立即体验