Li Julie Y, Ryder Christopher B, Zhang Hailing, Cockey Samuel G, Hyjek Elizabeth, Moscinski Lynn C, Sagatys Elizabeth, Song Jinming
Department of Pathology and Laboratory Medicine, H. Lee Moffitt Cancer Center, Tampa, FL 33612, USA.
Morsani College of Medicine, University of South Florida Health, Tampa, FL 33602, USA.
Cancers (Basel). 2023 Nov 28;15(23):5626. doi: 10.3390/cancers15235626.
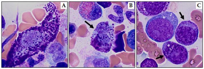
Mast cell disorders range from benign proliferations to systemic diseases that cause anaphylaxis and other diverse symptoms to mast cell neoplasms with varied clinical outcomes. Mastocytosis is the pathologic process of the accumulation of abnormal mast cells in different organs, mostly driven by mutations, and can present as cutaneous mastocytosis, systemic mastocytosis (SM), and mast cell sarcoma. The WHO 5th edition classification divides systemic mastocytosis into bone marrow mastocytosis, indolent systemic mastocytosis, smoldering systemic mastocytosis, aggressive systemic mastocytosis, systemic mastocytosis with an associated hematologic neoplasm, and mast cell leukemia. The new ICC classifies SM slightly differently. The diagnosis of SM requires the integration of bone marrow morphologic, immunophenotypic, and molecular findings, as well as clinical signs and symptoms. Moreover, understanding the wide range of clinical presentations for patients with mast cell disorders is necessary for accurate and timely diagnosis. This review provides an updated overview of mast cell disorders, with a special emphasis on SM, including the latest approaches to diagnosis, prognostic stratification, and management of this rare disease.
肥大细胞疾病范围广泛,从良性增殖到可引发过敏反应及其他多样症状的全身性疾病,再到具有不同临床结局的肥大细胞瘤。肥大细胞增多症是异常肥大细胞在不同器官中积聚的病理过程,主要由突变驱动,可表现为皮肤肥大细胞增多症、系统性肥大细胞增多症(SM)和肥大细胞肉瘤。世界卫生组织第5版分类将系统性肥大细胞增多症分为骨髓肥大细胞增多症、惰性系统性肥大细胞增多症、冒烟性系统性肥大细胞增多症、侵袭性系统性肥大细胞增多症、伴相关血液系统肿瘤的系统性肥大细胞增多症和肥大细胞白血病。新的国际肥大细胞增多症协作组(ICC)分类对SM的分类略有不同。SM的诊断需要整合骨髓形态学、免疫表型和分子学结果,以及临床体征和症状。此外,了解肥大细胞疾病患者广泛的临床表现对于准确及时的诊断是必要的。本综述提供了肥大细胞疾病的最新概述,特别强调了SM,包括这种罕见疾病的最新诊断方法、预后分层和管理。