Department of Pathology, Ghent University Hospital, Ghent University, 9000 Ghent, Belgium.
CRIG, Cancer Research Institute Ghent, Ghent University Hospital, Ghent University, 9000 Ghent, Belgium.
Genes (Basel). 2023 Dec 17;14(12):2229. doi: 10.3390/genes14122229.
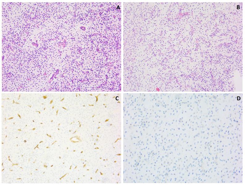
Since the introduction of new molecular techniques, the diagnostic landscape of soft tissue and bone tumors has expanded greatly over the past few years. The use of new molecular techniques has led to the identification of new genetic alterations and, therefore, to a better understanding of tumorigenesis, tumor detection and classification. Furthermore, methylation profiling has emerged as a classification tool for soft tissue and bone tumors. Molecular pathology also plays an important role in the determination of patient prognosis and in the identification of targets that can be used for targeted therapy. As a result, molecular pathology has gained a more prominent role in the daily practice of the surgical pathologist. This review delves into various molecular techniques applied in the surgical pathology of soft tissue and bone tumors. It highlights their applications through the analysis of five specific cases.
自新分子技术问世以来,过去几年间软组织和骨肿瘤的诊断领域有了极大的扩展。新分子技术的应用导致了新的遗传改变的发现,从而使人们对肿瘤发生、肿瘤检测和分类有了更好的理解。此外,甲基化谱分析已成为软组织和骨肿瘤的分类工具。分子病理学在确定患者预后和识别可用于靶向治疗的靶点方面也起着重要作用。因此,分子病理学在外科病理学家的日常工作中扮演着更重要的角色。这篇综述深入探讨了应用于软组织和骨肿瘤外科病理学的各种分子技术。通过分析五个具体案例,强调了它们的应用。