Myrou Athena
Department of Internal Medicine, American Hellenic Educational Progressive Association (AHEPA) University Hospital, Thessaloniki, GRC.
Cureus. 2023 Dec 31;15(12):e51414. doi: 10.7759/cureus.51414. eCollection 2023 Dec.
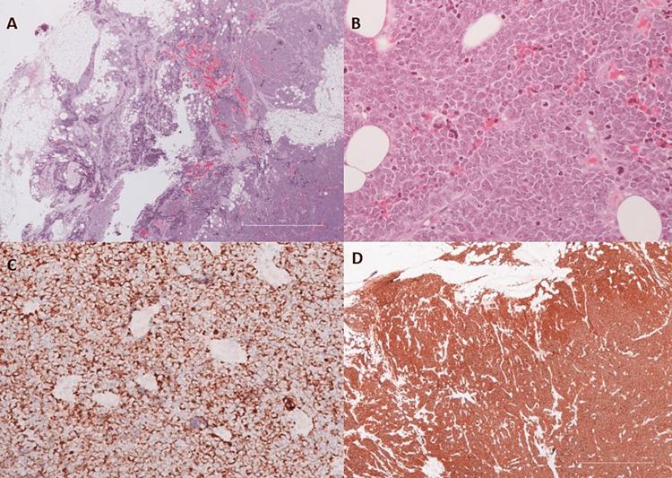
Multiparameter flow cytometry (MFC) is a well-established method for the diagnosis, prognosis, and follow-up of a vast majority of hematological malignancies; however, it can have a major impact on the rapid diagnosis of nonhematopoietic tumor micrometastases in minimally invasive samples such as bone marrow aspirates (BMAs), body fluids, and tissue samples (lymph nodes, fine needle aspirates). Here, we present two cases of bone marrow micrometastases of neuroendocrine origin (one small cell lung carcinoma [SCLC] and one large cell neuroendocrine carcinoma [LCNEC] of the lungs) readily recognized by routine MFC investigation of BMA and review the existing literature on the role of MFC in the diagnosis of solid tumors of neuroendocrine origin. The clinical application of flow cytometry for the diagnosis of solid tumors is limited despite the accumulating evidence of the value of the method. It can be of great value in situations where the patient's clinical status forbids invasive procedures, and a rapid diagnosis is desirable. Flow cytometry is a valuable tool for the detection of both hematological and nonhematologic neoplasms. Future large-scale patient series will probably confirm its role in the screening, diagnosis, and classification of more tumor types.
多参数流式细胞术(MFC)是诊断、预测和随访绝大多数血液系统恶性肿瘤的成熟方法;然而,它对在骨髓穿刺液(BMA)、体液和组织样本(淋巴结、细针穿刺抽吸物)等微创样本中快速诊断非造血肿瘤微转移可能有重大影响。在此,我们展示两例神经内分泌源性骨髓微转移病例(一例肺小细胞肺癌[SCLC]和一例肺大细胞神经内分泌癌[LCNEC]),通过对BMA进行常规MFC检测很容易识别,并回顾了关于MFC在神经内分泌源性实体瘤诊断中作用的现有文献。尽管有越来越多的证据表明流式细胞术在实体瘤诊断中的价值,但该方法在实体瘤诊断中的临床应用仍然有限。在患者临床状况不允许进行侵入性检查且需要快速诊断的情况下,它可能具有很大价值。流式细胞术是检测血液系统和非血液系统肿瘤的有价值工具。未来大规模患者系列研究可能会证实其在更多肿瘤类型的筛查、诊断和分类中的作用。