Suppr超能文献

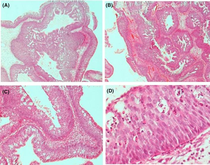
双侧鼻息肉的罕见表现及组织病理学;海绵状血管瘤(右侧)和内翻性乳头状瘤(左侧)。

Unusual presentation and histopathology of bilateral nasal polypi; cavernous hemangioma (right) and inverted papilloma (left).

作者信息

Hasan Abdulkarim, Mairaj Muhammad Yousaf, Elbadawy Ahmed, Zayed Sameh, Alghamdi Abdulkhaliq Saeed, Alrashdi Saeed Awad, Nafie Khalid

机构信息

Pathology and Laboratory Department Prince Mishari bin Saud Hospital in Baljurashi, Ministry of Health Al-Bahah Saudi Arabia.

Pathology Department, Faculty of Medicine Al-Azhar University Cairo Egypt.

出版信息

Clin Case Rep. 2023 Dec 28;12(1):e8366. doi: 10.1002/ccr3.8366. eCollection 2024 Jan.

Abstract

Hemangiomas are common lesions in medical practice, but those arising in the nasal cavity and/or paranasal sinuses are rare. Inverted papilloma is a rare benign tumor with a high incidence rate in both the nasal cavity and sinuses. The presence of both lesions in the same patient is even rarer. Here we present a case of a male patient with an unusual presentation and dual pathologies of cavernous hemangioma and inverted papilloma of the sinonasal tract that underwent endoscopic surgery and showed no recurrence of disease after a 2-year follow-up. The association of nasal cavernous hemangioma at one side and inverted papilloma at the other side is a very rare occasion that requires further studies and histopathology is the only diagnostic tool.

摘要

血管瘤在医疗实践中是常见病变,但发生于鼻腔和/或鼻窦的血管瘤却很罕见。内翻性乳头状瘤是一种罕见的良性肿瘤,在鼻腔和鼻窦中发病率较高。同一患者同时存在这两种病变的情况更为罕见。在此,我们报告一例男性患者,其鼻窦道患有海绵状血管瘤和内翻性乳头状瘤,表现异常且为双重病理,该患者接受了内镜手术,经过2年随访未出现疾病复发。一侧为鼻腔海绵状血管瘤而另一侧为内翻性乳头状瘤的情况非常罕见,需要进一步研究,而组织病理学是唯一的诊断工具。

https://cdn.ncbi.nlm.nih.gov/pmc/blobs/c038/10753644/9491e8229938/CCR3-12-e8366-g004.jpg

文献AI研究员

20分钟写一篇综述,助力文献阅读效率提升50倍。

立即体验

用中文搜PubMed

大模型驱动的PubMed中文搜索引擎

马上搜索

文档翻译

学术文献翻译模型,支持多种主流文档格式。

立即体验