Suppr超能文献

一名患有胃腺癌的女性身上出现大疱性类天疱疮、恶性黑棘皮病和丹毒样癌。

Bullous pemphigoid, malignant acanthosis nigricans, and erysipeloid carcinoma in a woman with gastric adenocarcinoma.

作者信息

Al-Zahawi Saman, Sadeghi Yasaman, Azhari Vahidesadat, Mahmoudi Hamidreza, Daneshpazhooh Maryam

机构信息

Department of Dermatology Razi Hospital Tehran University of Medical Sciences (TUMS) Tehran Iran.

Department of Dermatopathology Razi Hospital Tehran University of Medical Sciences (TUMS) Tehran Iran.

出版信息

Clin Case Rep. 2024 Jan 2;12(1):e8351. doi: 10.1002/ccr3.8351. eCollection 2024 Jan.

Abstract

KEY CLINICAL MESSAGE

Bullous pemphigoid did not follow the course of Gastric Carcinoma relapse and remisson, unlike the malignant acanthosis nigricans which was in alignment with the paraneoplastic effect of the Gastric Carcinoma.

ABSTRACT

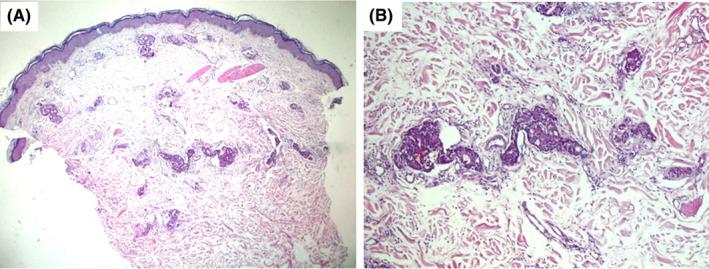
Acanthosis nigricans (AN) is a dermatosis characterized by the presence of hyperpigmented, velvety cutaneous thickening in the flexural areas, posterior neck, and occasionally the extensor surfaces of hand, face, and oral mucosa. AN is commonly associated with insulin resistance, drugs, and rarely internal malignancy (malignant AN). Bullous pemphigoid (BP) is an autoimmune blistering disease characterized by tense blisters involving the skin of mainly elderly patients. The association of BP and malignancy is not well established and the co-existence of BP with AN has not been reported. Here we report a 58-year-old, event-free gastric adenocarcinoma with three types of skin findings with different pathogenesis- BP, malignant AN, and erysipelas-like metastasis.

摘要

关键临床信息

大疱性类天疱疮的病程与胃癌复发和缓解情况无关,这与恶性黑棘皮病不同,后者与胃癌的副肿瘤效应一致。

摘要

黑棘皮病(AN)是一种皮肤病,其特征为在屈侧部位、后颈部,偶尔在手的伸侧、面部和口腔黏膜出现色素沉着、天鹅绒样皮肤增厚。AN通常与胰岛素抵抗、药物有关,很少与内脏恶性肿瘤(恶性AN)相关。大疱性类天疱疮(BP)是一种自身免疫性水疱病,其特征为主要累及老年患者皮肤的紧张水疱。BP与恶性肿瘤的关联尚未明确,且BP与AN并存的情况尚未见报道。在此,我们报告一名58岁无事件发生的胃腺癌患者,其有三种不同发病机制的皮肤表现——BP、恶性AN和丹毒样转移。

https://cdn.ncbi.nlm.nih.gov/pmc/blobs/7bef/10761616/1fb0d565a63c/CCR3-12-e8351-g001.jpg

文献AI研究员

20分钟写一篇综述,助力文献阅读效率提升50倍。

立即体验

用中文搜PubMed

大模型驱动的PubMed中文搜索引擎

马上搜索

文档翻译

学术文献翻译模型,支持多种主流文档格式。

立即体验