Department of Laboratory Medicine, Institute of Biomedicine, University of Gothenburg, Gothenburg, Sweden.
Translational Genomics, Discovery Biology, Discovery Sciences, BioPharmaceuticals R&D, AstraZeneca, Gothenburg, Sweden.
Nucleic Acids Res. 2024 Mar 21;52(5):2648-2671. doi: 10.1093/nar/gkad1242.
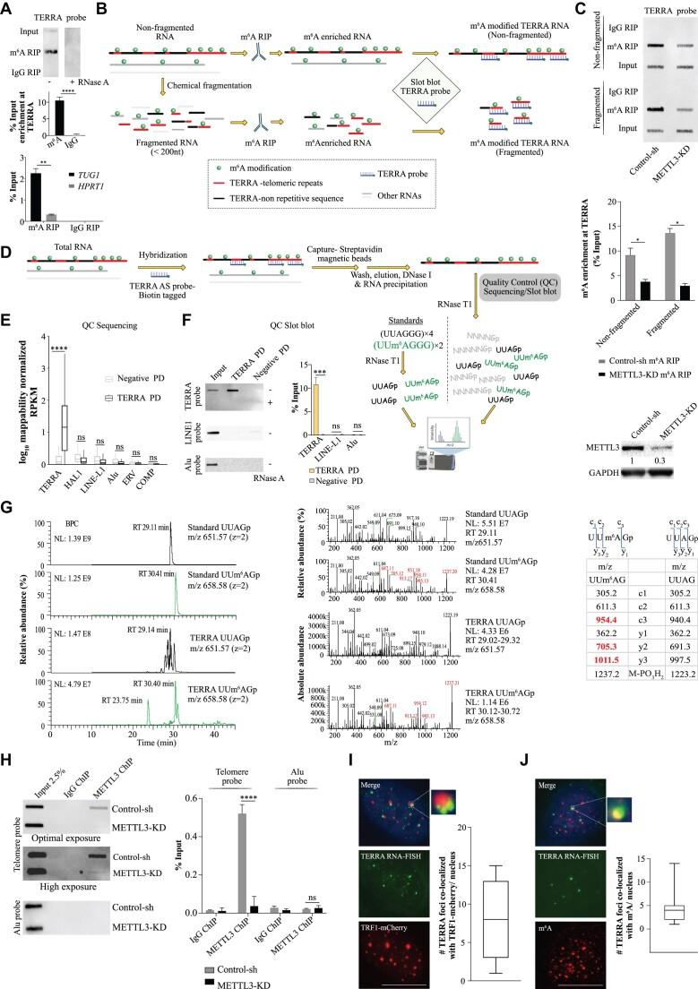
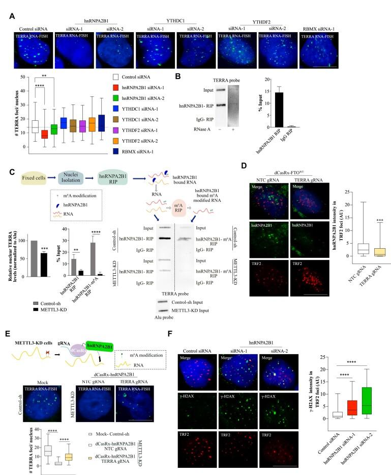
Telomerase-negative tumors maintain telomere length by alternative lengthening of telomeres (ALT), but the underlying mechanism behind ALT remains poorly understood. A proportion of aggressive neuroblastoma (NB), particularly relapsed tumors, are positive for ALT (ALT+), suggesting that a better dissection of the ALT mechanism could lead to novel therapeutic opportunities. TERRA, a long non-coding RNA (lncRNA) derived from telomere ends, localizes to telomeres in a R-loop-dependent manner and plays a crucial role in telomere maintenance. Here we present evidence that RNA modification at the N6 position of internal adenosine (m6A) in TERRA by the methyltransferase METTL3 is essential for telomere maintenance in ALT+ cells, and the loss of TERRA m6A/METTL3 results in telomere damage. We observed that m6A modification is abundant in R-loop enriched TERRA, and the m6A-mediated recruitment of hnRNPA2B1 to TERRA is critical for R-loop formation. Our findings suggest that m6A drives telomere targeting of TERRA via R-loops, and this m6A-mediated R-loop formation could be a widespread mechanism employed by other chromatin-interacting lncRNAs. Furthermore, treatment of ALT+ NB cells with a METTL3 inhibitor resulted in compromised telomere targeting of TERRA and accumulation of DNA damage at telomeres, indicating that METTL3 inhibition may represent a therapeutic approach for ALT+ NB.
端粒酶阴性肿瘤通过端粒的非经典延长(ALT)来维持端粒长度,但 ALT 的潜在机制仍知之甚少。一部分侵袭性神经母细胞瘤(NB),特别是复发性肿瘤,呈 ALT 阳性(ALT+),这表明对 ALT 机制的更好剖析可能会带来新的治疗机会。TERRA 是一种源自端粒末端的长非编码 RNA(lncRNA),以 R 环依赖的方式定位于端粒,并在端粒维持中发挥关键作用。在这里,我们提供的证据表明,甲基转移酶 METTL3 对 TERRA 内部腺苷(m6A)的 N6 位进行 RNA 修饰对于 ALT+细胞中端粒的维持是必不可少的,并且 TERRA m6A/METTL3 的缺失会导致端粒损伤。我们观察到,m6A 修饰在富含 R 环的 TERRA 中很丰富,并且 m6A 介导的 hnRNPA2B1 对 TERRA 的募集对于 R 环的形成至关重要。我们的研究结果表明,m6A 通过 R 环驱动 TERRA 靶向端粒,并且这种 m6A 介导的 R 环形成可能是其他与染色质相互作用的 lncRNA 所采用的广泛机制。此外,用 METTL3 抑制剂处理 ALT+NB 细胞会导致 TERRA 靶向端粒受损和端粒处 DNA 损伤积累,表明 METTL3 抑制可能代表 ALT+NB 的一种治疗方法。