Suppr超能文献

镰状细胞病青少年患者出现酷似硬脑膜静脉窦血栓形成的大量自发性硬膜下出血:一例罕见病例报告

Massive spontaneous subdural hemorrhage mimicking dural venous thrombosis in a sickle cell adolescent, a rare case report.

作者信息

Chipongo Hilary, Sarkar Abizer, Bosco Kenan, Sangey Esmail

机构信息

Department of Critical Care Unit Shree Hindu Mandal Hospital, P.O Box 581, Dar es Salaam, Tanzania.

Department of Radiology Shree Hindu Mandal Hospital, P.O Box 581, Dar es Salaam, Tanzania.

出版信息

Int J Surg Case Rep. 2024 Feb;115:109255. doi: 10.1016/j.ijscr.2024.109255. Epub 2024 Jan 12.

Abstract

INTRODUCTION

Sickle cell disease is one of the most common hemoglobinopathies in Africa. Tanzania alone accounts for about 11,000 sickle cell births annually making it one of the most common disorders in eastern Africa. The affected individuals are prone to several complications since childhood as a result of the defective hemoglobin structure, these include neurological complications such as ischemic stroke due to hypercoagulability state caused by the disease. Spontaneous intracranial hemorrhage such as subdural hemorrhage in the absence of predisposing factors such as trauma, anticoagulant use, or recent blood transfusions is rare. As reported in the previous literature.

CASE PRESENTATION

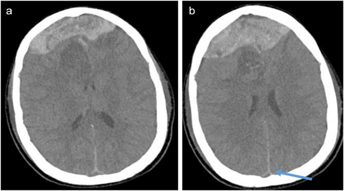
We report a rare case of acute spontaneous subdural hemorrhage in an adolescent sickle cell patient of African descent.

DISCUSSION

Initial management including early referral and medical treatment is crucial for cases that are suspicious of intracranial hemorrhage. These cases are more common to be missed in resource-limited settings where there are a limited number of neurosurgery interventions.

CONCLUSION

Although few reported cases of spontaneous intracranial hemorrhage in sickle cell patients are reported, it is important to be vigilant as a clinician wherever a sickle cell patient presents with signs of increased intracranial pressure without a history of trauma such as in our patient and order an urgent brain imaging to rule out spontaneous hemorrhagic events which may lead to fatal consequences if missed out.

摘要

引言

镰状细胞病是非洲最常见的血红蛋白病之一。仅坦桑尼亚每年就有大约11000例镰状细胞病患儿出生,使其成为东非最常见的疾病之一。由于血红蛋白结构缺陷,患病个体从儿童时期起就容易出现多种并发症,这些并发症包括神经并发症,如因该疾病导致的高凝状态引起的缺血性中风。在没有创伤、使用抗凝剂或近期输血等诱发因素的情况下,自发性颅内出血如硬膜下出血很少见。如先前文献所报道。

病例介绍

我们报告了一例非洲裔青少年镰状细胞病患者急性自发性硬膜下出血的罕见病例。

讨论

对于怀疑颅内出血的病例,包括早期转诊和药物治疗在内的初始管理至关重要。在神经外科干预措施有限的资源匮乏地区,这些病例更容易被漏诊。

结论

尽管镰状细胞病患者自发性颅内出血的报道病例较少,但作为临床医生,无论镰状细胞病患者在没有创伤史的情况下出现颅内压升高的迹象,如我们的患者,都必须保持警惕,并紧急安排脑部成像检查,以排除可能导致致命后果的自发性出血事件。

https://cdn.ncbi.nlm.nih.gov/pmc/blobs/ef48/10803940/c545f5c9a9cf/gr1.jpg

文献AI研究员

20分钟写一篇综述,助力文献阅读效率提升50倍。

立即体验

用中文搜PubMed

大模型驱动的PubMed中文搜索引擎

马上搜索

文档翻译

学术文献翻译模型,支持多种主流文档格式。

立即体验