Suppr超能文献

孤独症谱系障碍患者因严重嗜酸性粒细胞增多和急性呼吸窘迫而致弓蛔虫病:病例报告。

Toxocarosis in a patient with autism spectrum disorder presenting with severe hypereosinophilia and acute respiratory distress: a case report.

机构信息

St. Anna Children's Hospital, Department of Pediatrics, Medical University Vienna, Vienna, Austria.

Medical Parasitology, Institute of Specific Prophylaxis and Tropical Medicine, Center of Pathophysiology, Infectiology and Immunology, Medical University Vienna, Vienna, Austria.

出版信息

Parasitol Res. 2024 Jan 17;123(1):99. doi: 10.1007/s00436-024-08119-y.

Abstract

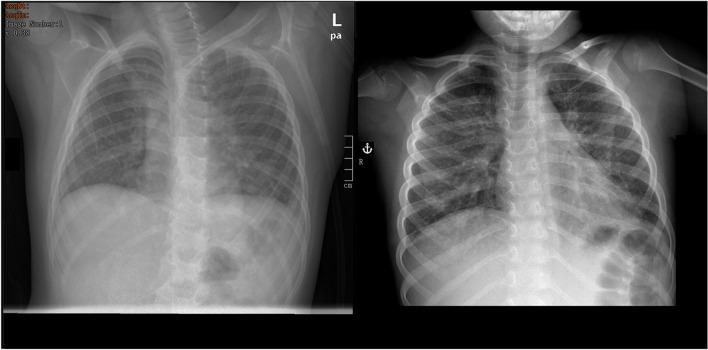
A boy with known autism spectrum disorder was transferred to our department due to a rapidly worsening respiratory situation. The patient's history revealed previous treatment with albendazole against a Toxocara infection 2 weeks prior in Poland. Blood analysis showed such severe eosinophilia and markedly elevated levels of IgE that, initially, a hematologic malignancy was suspected. However, diagnostic workup including autoimmune diagnostic, molecular genetic testing, fluorescence in situ hybridization (FISH), bone marrow aspiration, and parasitological testing led to the diagnosis of an insufficiently treated Toxocara infection. Treatment with albendazole and prednisone (six cycles for 4 weeks each) was administered. This treatment regime led to prompt improvement of symptoms and normalization of laboratory findings.

摘要

一名已知患有自闭症谱系障碍的男孩因呼吸状况迅速恶化而转入我科。患者病史显示,两周前在波兰曾接受过阿苯达唑治疗弓首线虫感染。血液分析显示严重的嗜酸性粒细胞增多和显著升高的 IgE 水平,最初怀疑为血液系统恶性肿瘤。然而,包括自身免疫诊断、分子遗传学检测、荧光原位杂交(FISH)、骨髓抽吸和寄生虫学检测在内的诊断性检查导致诊断为治疗不充分的弓首线虫感染。给予阿苯达唑和泼尼松(每个周期 4 周,共 6 个周期)治疗。该治疗方案迅速改善了症状并使实验室检查结果正常化。

https://cdn.ncbi.nlm.nih.gov/pmc/blobs/cd59/10791809/92b4ccb71ce6/436_2024_8119_Fig1_HTML.jpg

相似文献

2
Toxocariasis in a Child with Autism Spectrum Disorder.
Int J Environ Res Public Health. 2021 Jan 2;18(1):283. doi: 10.3390/ijerph18010283.
3
Toxocariasis Presenting with Hypereosinophilia and Lymphadenopathy: A Case Report.
Turkiye Parazitol Derg. 2020 Dec 2;44(4):267-269. doi: 10.4274/tpd.galenos.2020.6643.
4
Toxocarosis and putative DRESS syndrome in an oncological patient: a case report.
Wien Klin Wochenschr. 2014 Apr;126 Suppl 1:S51-5. doi: 10.1007/s00508-013-0444-x. Epub 2013 Nov 19.
5
A rare case of presumptive pleural toxocariasis.
Eur J Clin Microbiol Infect Dis. 2023 Jun;42(6):781-786. doi: 10.1007/s10096-023-04595-9. Epub 2023 Apr 15.
6
[Atypical presentation of infant toxocariasis: About a case].
Rev Chilena Infectol. 2021 Oct;38(5):698-701. doi: 10.4067/s0716-10182021000500698.
7
Toxocarosis in children: poor hygiene habits and contact with dogs is related to longer treatment.
Parasitol Res. 2018 May;117(5):1513-1519. doi: 10.1007/s00436-018-5833-7. Epub 2018 Mar 20.
8
Case Report: Toxocariasis Manifesting as Eosinophilic Pleural Effusion.
Am J Trop Med Hyg. 2024 Mar 5;110(4):687-690. doi: 10.4269/ajtmh.23-0343. Print 2024 Apr 3.
9
Visceral larva migrans presenting with hypereosinophilia.
Turkiye Parazitol Derg. 2013;37(1):58-60. doi: 10.5152/tpd.2013.15.
10
A rare case of toxocariasis presenting with hypereosinophilic pericardial effusion and mycotic aneurysm.
Trop Doct. 2022 Jan;52(1):188-191. doi: 10.1177/00494755211034327. Epub 2021 Jul 29.

本文引用的文献

1
Seroprevalence of human toxocarosis in Europe: A review and meta-analysis.
Adv Parasitol. 2020;109:375-418. doi: 10.1016/bs.apar.2020.01.014. Epub 2020 Feb 10.
2
Toxocariasis and the clinical spectrum.
Adv Parasitol. 2020;109:111-130. doi: 10.1016/bs.apar.2020.01.005. Epub 2020 Feb 18.
3
Human toxocariasis - A look at a neglected disease through an epidemiological 'prism'.
Infect Genet Evol. 2019 Oct;74:104002. doi: 10.1016/j.meegid.2019.104002. Epub 2019 Aug 11.
4
Human toxocariasis.
Lancet Infect Dis. 2018 Jan;18(1):e14-e24. doi: 10.1016/S1473-3099(17)30331-6. Epub 2017 Aug 3.
5
Treatment of larva migrans syndrome with long-term administration of albendazole.
J Microbiol Immunol Infect. 2019 Feb;52(1):100-105. doi: 10.1016/j.jmii.2017.07.002. Epub 2017 Jul 14.
6
Toxocariasis: A Review for Pediatricians.
J Pediatric Infect Dis Soc. 2014 Jun;3(2):154-9. doi: 10.1093/jpids/pit066. Epub 2013 Oct 31.
7
Hypereosinophilic Syndrome.
Clin Rev Allergy Immunol. 2016 Apr;50(2):240-51. doi: 10.1007/s12016-015-8506-7.
8
Pica in persons with developmental disabilities: approaches to treatment.
Res Dev Disabil. 2013 Sep;34(9):2564-71. doi: 10.1016/j.ridd.2013.05.018. Epub 2013 Jun 7.
9
Parasitoses of the human central nervous system.
J Helminthol. 2013 Sep;87(3):257-70. doi: 10.1017/S0022149X12000600. Epub 2012 Oct 10.
10
Analysis of the course and treatment of toxocariasis in children-a long-term observation.
Parasitol Res. 2012 Jun;110(6):2363-71. doi: 10.1007/s00436-011-2772-y. Epub 2011 Dec 29.

文献AI研究员

20分钟写一篇综述,助力文献阅读效率提升50倍。

立即体验

用中文搜PubMed

大模型驱动的PubMed中文搜索引擎

马上搜索

文档翻译

学术文献翻译模型,支持多种主流文档格式。

立即体验