Suppr超能文献

硬化性上皮样纤维肉瘤的免疫治疗反应:病例报告及文献综述

Response to Immunotherapy in Sclerosing Epithelioid Fibrosarcoma: Case Report and Literature Review.

作者信息

Koerner Anna S, Zhou Maggie, Brook Ashley, Yoon Sam S, Ganjoo Kristen N

机构信息

Surgical Oncology, Surgery, Columbia University Irving Medical Center, New York, USA.

Hematology and Medical Oncology, Stanford University School of Medicine, Stanford, USA.

出版信息

Cureus. 2023 Dec 22;15(12):e50967. doi: 10.7759/cureus.50967. eCollection 2023 Dec.

Abstract

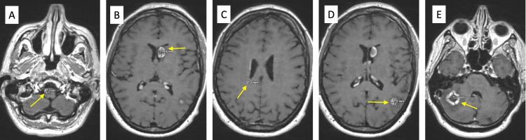
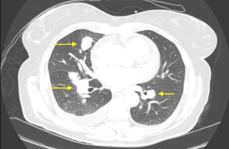
Sclerosing epithelioid fibrosarcoma (SEF) is an extremely rare subtype of sarcoma that appears histologically low-grade yet usually has a clinically aggressive course with a high rate of local recurrence and distant metastasis. However, these recurrences and metastases often occur years after initial treatment. Metastases can be to the lung as well as extra-pulmonary sites. In this case report, we discuss a patient who developed SEF in the deep soft tissue with metastases. This patient underwent checkpoint inhibitor therapy, with disease response. Thus, SEF is a sarcoma subtype with a unique tumor biology, and immunotherapy may be a promising avenue for treatment.

摘要

硬化性上皮样纤维肉瘤(SEF)是一种极其罕见的肉瘤亚型,其组织学表现为低级别,但临床过程通常具有侵袭性,局部复发率和远处转移率较高。然而,这些复发和转移往往在初始治疗数年之后才会出现。转移部位可以是肺部以及肺外部位。在本病例报告中,我们讨论了一名在深部软组织发生SEF并伴有转移的患者。该患者接受了检查点抑制剂治疗,并出现了疾病反应。因此,SEF是一种具有独特肿瘤生物学特性的肉瘤亚型,免疫疗法可能是一种有前景的治疗途径。

https://cdn.ncbi.nlm.nih.gov/pmc/blobs/31ca/10801283/85007acb5234/cureus-0015-00000050967-i01.jpg

文献AI研究员

20分钟写一篇综述,助力文献阅读效率提升50倍。

立即体验

用中文搜PubMed

大模型驱动的PubMed中文搜索引擎

马上搜索

文档翻译

学术文献翻译模型,支持多种主流文档格式。

立即体验