Department of Biomedical Engineering, University of Texas at Austin, 1 University Station, BME 5.202D, C0800, Austin, TX, 78712, USA.
School of Medicine, Surgery, Stanford University, Stanford, CA, USA.
Sci Rep. 2024 Jan 29;14(1):2352. doi: 10.1038/s41598-024-52888-6.
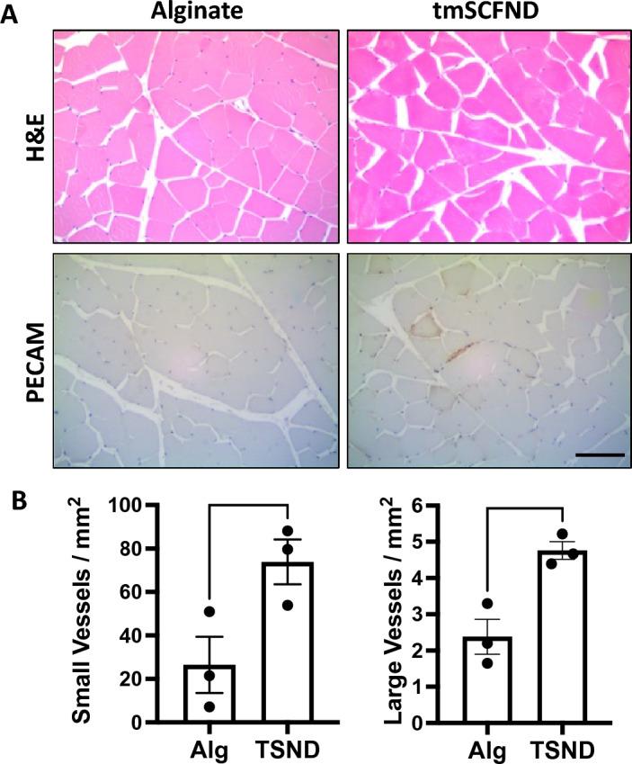
Therapies to revascularize ischemic tissue have long been a goal for the treatment of vascular disease and other disorders. Therapies using stem cell factor (SCF), also known as a c-Kit ligand, had great promise for treating ischemia for myocardial infarct and stroke, however clinical development for SCF was stopped due to toxic side effects including mast cell activation in patients. We recently developed a novel therapy using a transmembrane form of SCF (tmSCF) delivered in lipid nanodiscs. In previous studies, we demonstrated tmSCF nanodiscs were able to induce revascularization of ischemia limbs in mice and did not activate mast cells. To advance this therapeutic towards clinical application, we tested this therapy in an advanced model of hindlimb ischemia in rabbits with hyperlipidemia and diabetes. This model has therapeutic resistance to angiogenic therapies and maintains long term deficits in recovery from ischemic injury. We treated rabbits with local treatment with tmSCF nanodiscs or control solution delivered locally from an alginate gel delivered into the ischemic limb of the rabbits. After eight weeks, we found significantly higher vascularity in the tmSCF nanodisc-treated group in comparison to alginate treated control as quantified through angiography. Histological analysis also showed a significantly higher number of small and large blood vessels in the ischemic muscles of the tmSCF nanodisc treated group. Importantly, we did not observe inflammation or mast cell activation in the rabbits. Overall, this study supports the therapeutic potential of tmSCF nanodiscs for treating peripheral ischemia.
长期以来,使缺血组织再血管化的疗法一直是治疗血管疾病和其他疾病的目标。使用干细胞因子(SCF),也称为 c-Kit 配体的疗法在治疗心肌梗塞和中风的缺血方面具有很大的潜力,但是由于包括肥大细胞活化在内的毒性副作用,SCF 的临床开发已停止。我们最近开发了一种使用脂质纳米盘递送的跨膜形式的 SCF(tmSCF)的新型疗法。在以前的研究中,我们证明了 tmSCF 纳米盘能够诱导小鼠缺血肢体的再血管化,并且不会激活肥大细胞。为了将这种治疗方法推向临床应用,我们在具有高脂血症和糖尿病的兔后肢缺血的先进模型中测试了这种治疗方法。该模型对血管生成疗法具有治疗抵抗性,并保持缺血性损伤恢复的长期缺陷。我们用局部 tmSCF 纳米盘治疗或用藻酸盐凝胶局部递送至兔缺血肢体的对照溶液进行局部治疗。八周后,通过血管造影定量分析,我们发现 tmSCF 纳米盘治疗组的血管生成明显高于藻酸盐治疗的对照组。组织学分析还显示,tmSCF 纳米盘治疗组缺血肌肉中的小血管和大血管数量明显增加。重要的是,我们在兔子中未观察到炎症或肥大细胞活化。总体而言,这项研究支持 tmSCF 纳米盘治疗外周性缺血的治疗潜力。