Department of Physiology and Pathophysiology, School of Basic Medical Sciences, Key Laboratory of Immune Microenvironment and Disease (Ministry of Education), Tianjin Key Laboratory of Cellular Homeostasis and Disease, Tianjin Medical University, Tianjin, China.
Key Laboratory of Biotechnology of Hubei Province, Key Laboratory of Biotechnology of Chinese Traditional Medicine, National & Local Joint Engineering Research Center of High-throughput Drug Screening Technology, Hubei University, Wuhan, China.
Nat Commun. 2024 Feb 8;15(1):1190. doi: 10.1038/s41467-024-45477-8.
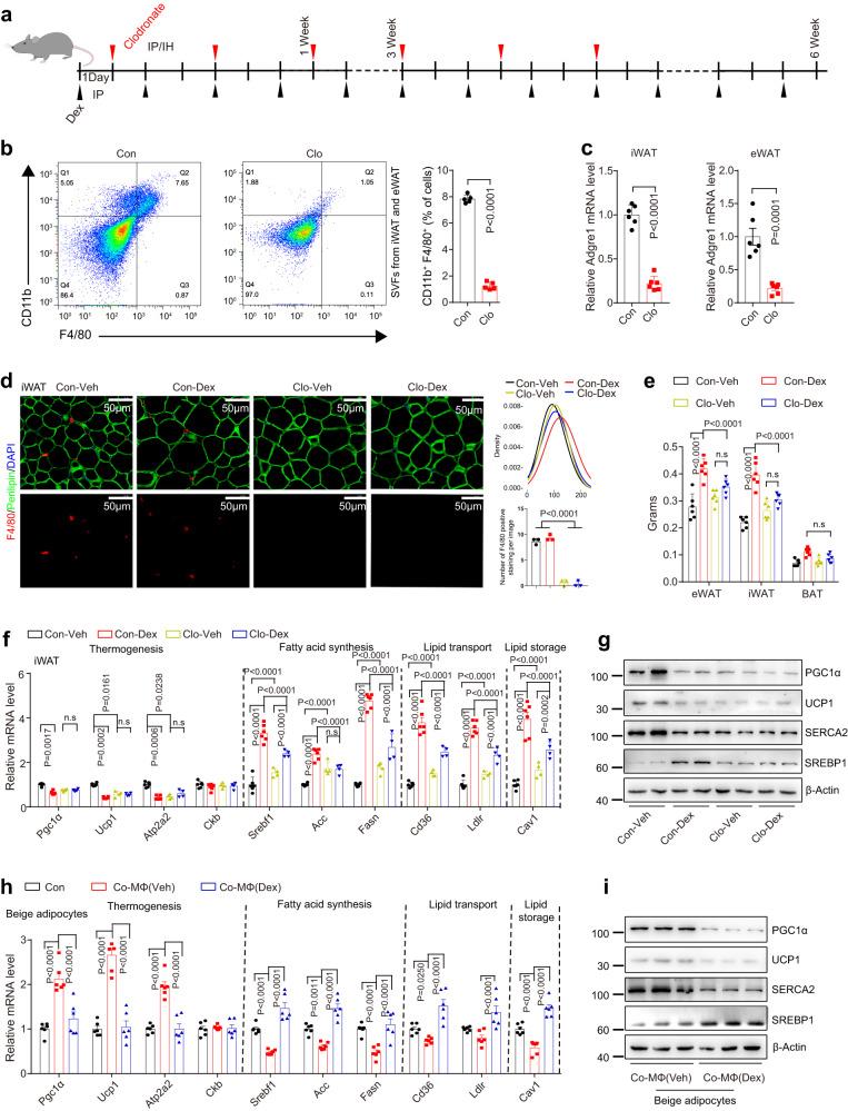
The mechanisms underlying glucocorticoid (GC)-induced obesity are poorly understood. Macrophages are the primary targets by which GCs exert pharmacological effects and perform critical functions in adipose tissue homeostasis. Here, we show that macrophages are essential for GC-induced obesity. Dexamethasone (Dex) strongly induced Krüppel-like factor 9 (Klf9) expression in macrophages. Similar to Dex, lentivirus-mediated Klf9 overexpression inhibits M1 and M2a markers expression, causing macrophage deactivation. Furthermore, the myeloid-specific Klf9 transgene promotes obesity. Conversely, myeloid-specific Klf9-knockout (mKlf9KO) mice are lean. Moreover, myeloid Klf9 knockout largely blocks obesity induced by chronic GC treatment. Mechanistically, GC-inducible KLF9 recruits the SIN3A/HDAC complex to the promoter regions of Il6, Ptgs2, Il10, Arg1, and Chil3 to inhibit their expression, subsequently reducing thermogenesis and increasing lipid accumulation by inhibiting STAT3 signaling in adipocytes. Thus, KLF9 in macrophages integrates the beneficial anti-inflammatory and adverse metabolic effects of GCs and represents a potential target for therapeutic interventions.
糖皮质激素(GC)诱导肥胖的机制尚不清楚。巨噬细胞是 GC 发挥药理作用的主要靶标,并在脂肪组织稳态中发挥关键功能。在这里,我们表明巨噬细胞对于 GC 诱导的肥胖是必需的。地塞米松(Dex)强烈诱导巨噬细胞中 Krüppel 样因子 9(Klf9)的表达。类似于 Dex,慢病毒介导的 Klf9 过表达抑制 M1 和 M2a 标志物的表达,导致巨噬细胞失活。此外,髓系特异性 Klf9 转基因促进肥胖。相反,髓系特异性 Klf9 敲除(mKlf9KO)小鼠则偏瘦。此外,髓系 Klf9 敲除在很大程度上阻止了慢性 GC 治疗诱导的肥胖。从机制上讲,GC 诱导的 KLF9 将 SIN3A/HDAC 复合物募集到 Il6、Ptgs2、Il10、Arg1 和 Chil3 的启动子区域,抑制它们的表达,从而通过抑制脂肪细胞中的 STAT3 信号传导来减少产热并增加脂质积累。因此,巨噬细胞中的 KLF9 整合了 GC 的有益抗炎和不良代谢作用,代表了治疗干预的潜在靶点。