Suppr超能文献

双侧距骨三角骨骨折行同期踝关节后关节镜治疗。

Bilateral Os Trigonum Fracture Treated With Simultaneous Posterior Ankle Arthroscopy.

机构信息

From the Department of Orthopaedics, Phramongkutklao Hospital and College of Medicine, Ratchathewi Bangkok, Thailand (Dr. Rungprai, Dr. Maneeprasopchoke, Dr. Sripanich, and Dr. Suksintharanon), and the Department of Orthopaedics (Steadman), University of Utah, Salt Lake City, UT.

出版信息

J Am Acad Orthop Surg Glob Res Rev. 2024 Feb 14;8(2). doi: 10.5435/JAAOSGlobal-D-23-00237. eCollection 2024 Feb 1.

Abstract

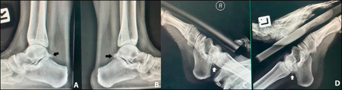
This is a case report of a 21-year-old female undergraduate student who sustained bilateral ankle injuries while jumping from a moving van wearing 3-inch high heel shoes. Upon initial presentation, her injury was treated conservatively as an acute bilateral ankle sprain for 6 weeks. However, the patient reported no improvement of pain and remained unable to self-ambulate. Bilateral MRI and CT scans of both ankles demonstrated bilateral os trigonum fractures. She underwent bilateral posterior ankle arthroscopic débridement of both os trigonum. At the postoperative 36-month follow-up, the patient reported notable improvement of all functional outcomes (36-item Short Form survey and Foot and Ankle Ability Measure), reported return to the same level of sports activities, and experienced no pain (visual analog scale) on either ankle. This is the first report in the literature of bilateral os trigonum fracture treated with simultaneous posterior ankle arthroscopic débridement.

摘要

这是一份关于一名 21 岁女大学生的病例报告,她在穿着 3 英寸高跟鞋从一辆行驶中的货车上跳下时,双侧踝关节受伤。初次就诊时,她的损伤被保守治疗为双侧急性踝关节扭伤,持续了 6 周。然而,患者报告疼痛没有改善,仍然无法自行行走。双侧踝关节的 MRI 和 CT 扫描显示双侧距骨后三角骨骨折。她接受了双侧后踝关节镜下距骨后三角骨清理术。术后 36 个月随访时,患者报告所有功能结果(36 项简短表格调查和足踝能力测量)均有显著改善,报告回到相同水平的体育活动,且双侧踝关节均无疼痛(视觉模拟评分)。这是文献中首例双侧距骨后三角骨骨折采用同期后踝关节镜下清理术治疗的病例报告。

https://cdn.ncbi.nlm.nih.gov/pmc/blobs/1dfd/11136514/5a3f3fe03dc8/jagrr-8-e23.00237-g001.jpg

文献AI研究员

20分钟写一篇综述,助力文献阅读效率提升50倍。

立即体验

用中文搜PubMed

大模型驱动的PubMed中文搜索引擎

马上搜索

文档翻译

学术文献翻译模型,支持多种主流文档格式。

立即体验