Suppr超能文献

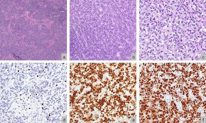
CNS embryonal tumour with concomitant novel BRD4::CTRC1 fusion and BCOR internal tandem duplication - evidence for synergism and non-mutually exclusive alterations in CNS embryonal tumours.

作者信息

Aw Sze Jet, Tan Enrica Ee Kar, Low Sharon Yin Yee, Kuick Chik Hong, Goh Jian Yuan, Chang Kenneth Tou En

机构信息

Department of Pathology and Laboratory Medicine, KK Women's and Children's Hospital, 100 Bukit Timah Road, Singapore, 229899, Singapore.

Paediatric Haematology/Oncology Service, KK Women's and Children's Hospital, 100 Bukit Timah Road, Singapore, 229899, Singapore.

出版信息

Acta Neuropathol Commun. 2024 Feb 26;12(1):33. doi: 10.1186/s40478-024-01741-y.

Abstract
摘要
https://cdn.ncbi.nlm.nih.gov/pmc/blobs/65c5/10898127/0611d3e5e64c/40478_2024_1741_Fig1_HTML.jpg

文献AI研究员

20分钟写一篇综述,助力文献阅读效率提升50倍。

立即体验

用中文搜PubMed

大模型驱动的PubMed中文搜索引擎

马上搜索

文档翻译

学术文献翻译模型,支持多种主流文档格式。

立即体验