Department of Thoracic Surgery, Cancer Hospital of China Medical University, Liaoning Cancer Hospital & Institute, Shenyang, 110042, China.
Dalian Institute of Chemical Physics, Chinese Academy of Sciences, Dalian, 116023, China.
Cell Death Dis. 2024 Feb 27;15(2):175. doi: 10.1038/s41419-024-06563-3.
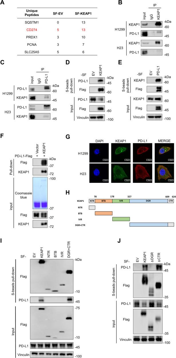
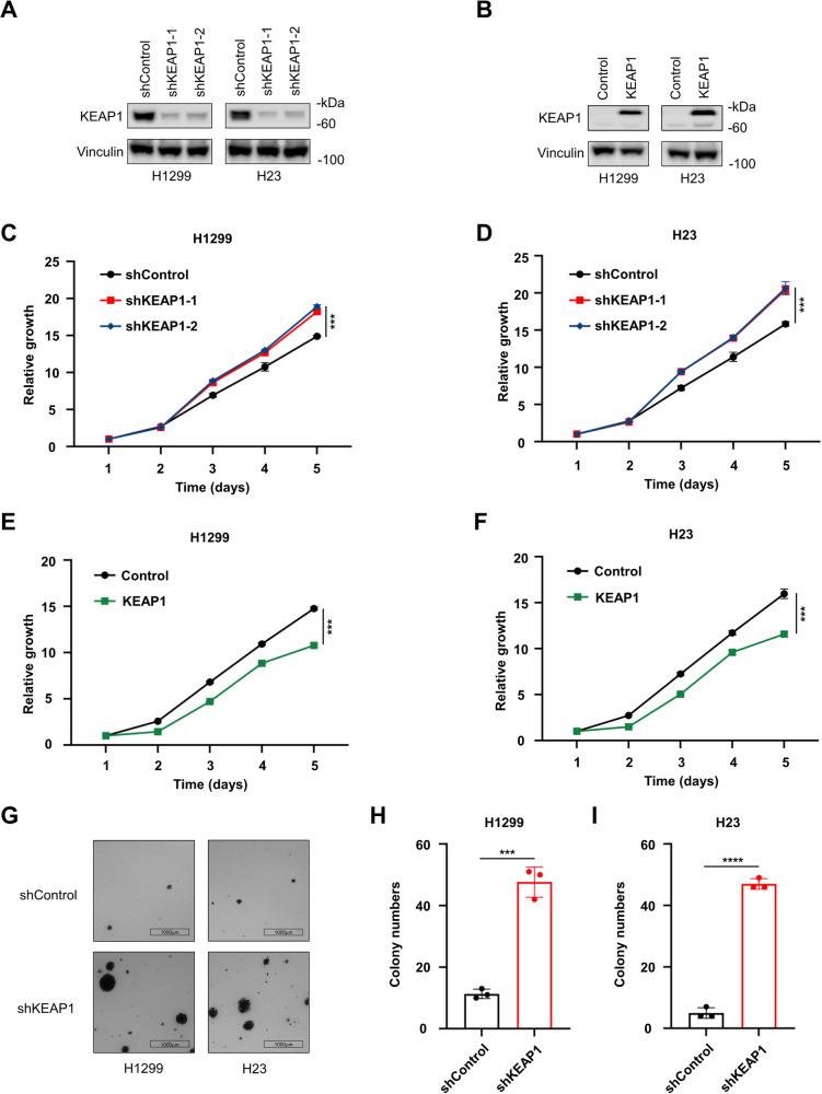
Immunotherapy has become a prominent first-line cancer treatment strategy. In non-small cell lung cancer (NSCLC), the expression of PD-L1 induces an immuno-suppressive effect to protect cancer cells from immune elimination, which designates PD-L1 as an important target for immunotherapy. However, little is known about the regulation mechanism and the function of PD-L1 in lung cancer. In this study, we have discovered that KEAP1 serves as an E3 ligase to promote PD-L1 ubiquitination and degradation. We found that overexpression of KEAP1 suppressed tumor growth and promoted cytotoxic T-cell activation in vivo. These results indicate the important role of KEAP1 in anti-cancer immunity. Moreover, the combination of elevated KEAP1 expression with anti-PD-L1 immunotherapy resulted in a synergistic effect on both tumor growth and cytotoxic T-cell activation. Additionally, we found that the expressions of KEAP1 and PD-L1 were associated with NSCLC prognosis. In summary, our findings shed light on the mechanism of PD-L1 degradation and how NSCLC immune escape through KEAP1-PD-L1 signaling. Our results also suggest that KEAP1 agonist might be a potential clinical drug to boost anti-tumor immunity and improve immunotherapies in NSCLC.
免疫疗法已成为一种突出的癌症一线治疗策略。在非小细胞肺癌(NSCLC)中,PD-L1 的表达会诱导免疫抑制作用,从而保护癌细胞免受免疫清除,这将 PD-L1 指定为免疫治疗的一个重要靶标。然而,人们对 PD-L1 在肺癌中的调控机制和功能知之甚少。在这项研究中,我们发现 KEAP1 作为一种 E3 连接酶,可促进 PD-L1 的泛素化和降解。我们发现,KEAP1 的过表达抑制了体内肿瘤的生长并促进了细胞毒性 T 细胞的激活。这些结果表明 KEAP1 在抗癌免疫中具有重要作用。此外,KEAP1 表达水平升高与抗 PD-L1 免疫疗法联合使用对肿瘤生长和细胞毒性 T 细胞激活均具有协同作用。此外,我们发现 KEAP1 和 PD-L1 的表达与 NSCLC 的预后相关。总之,我们的研究结果揭示了 PD-L1 降解的机制,以及 NSCLC 通过 KEAP1-PD-L1 信号通路逃避免疫的机制。我们的研究结果还表明,KEAP1 激动剂可能是一种有潜力的临床药物,可增强抗肿瘤免疫并改善 NSCLC 的免疫治疗。