Huang Yunfei, Du Jie, Li Dan, He Wei, Liu Zhouheng, Liu Li, Yang Xiaoli, Cheng Xiaoming, Chen Rui, Yang Yan
Department of Laboratory Medicine, Affiliated Hospital of Zunyi Medical University, 149 Dalian Road, Zunyi, 563000, Guizhou, China.
School of Laboratory Medicine, Zunyi Medical University, Zunyi, 563000, Guizhou, China.
Cancer Cell Int. 2024 Feb 28;24(1):87. doi: 10.1186/s12935-024-03275-8.
As a key enzyme in ceramide synthesis, longevity assurance homologue 2 (LASS2) has been indicated to act as a tumour suppressor in a variety of cancers. Ferroptosis is involved in a variety of tumour processes; however, the role of LASS2 in regulating ferroptosis has yet to be explored. This article explores the potential underlying mechanisms involved.
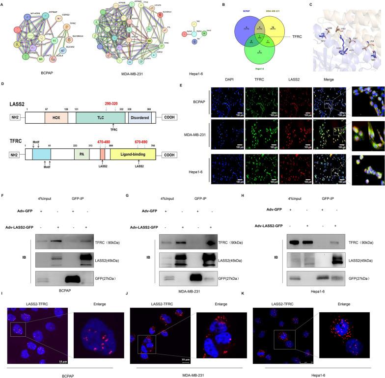
Bioinformatics tools and immunohistochemical staining were used to evaluate LASS2 expression, and the results were analysed in relation to overall survival and clinical association in multiple cancers. Coimmunoprecipitation-coupled liquid chromatography-mass spectrometry (co-IP LC-MS) was performed to identify potential LASS2-interacting proteins in thyroid, breast, and liver cancer cell lines. Transcriptomics, proteomics and metabolomics analyses of multiple cancer cell types were performed using MS or LC-MS to further explore the underlying mechanisms involved. Among these tumour cells, the common LASS2 interaction partner transferrin receptor (TFRC) was analysed by protein-protein docking and validated by coimmunoprecipitation western blot, immunofluorescence, and proximity ligation assays. Then, we performed experiments in which tumour cells were treated with Fer-1 or erastin or left untreated, with or without inducing LASS2 overexpression, and assessed the molecular biological and cellular functions by corresponding analyses.
Low LASS2 expression is correlated with adverse clinical characteristic and poor prognosis in patients with thyroid cancer, breast cancer or HCC. Multiomics analyses revealed significant changes in the ferroptosis signalling pathway, iron ion transport and iron homeostasis. Our in vitro experiments revealed that LASS2 overexpression regulated ferroptosis status in these tumour cells by affecting iron homeostasis, which in turn inhibited tumour migration, invasion and EMT. In addition, LASS2 overexpression reversed the changes in tumour cell metastasis induced by either Fer-1 or erastin. Mechanistically, LASS2 interacts directly with TFRC to regulate iron homeostasis in these tumour cells.
In summary, our study reveals for the first time that LASS2 can inhibit tumour cell metastasis by interacting with TFRC to regulate iron metabolism and influence ferroptosis status in thyroid, breast, and liver cancer cells, these results suggest potential universal therapeutic targets for the treatment of these cancers.
作为神经酰胺合成中的关键酶,长寿保障同源物2(LASS2)已被表明在多种癌症中发挥肿瘤抑制作用。铁死亡参与多种肿瘤进程;然而,LASS2在调节铁死亡中的作用尚待探索。本文探讨其中潜在的相关机制。
使用生物信息学工具和免疫组织化学染色评估LASS2表达,并分析其与多种癌症患者总生存期及临床关联的关系。采用免疫共沉淀偶联液相色谱 - 质谱联用技术(co - IP LC - MS)在甲状腺癌、乳腺癌和肝癌细胞系中鉴定潜在的LASS2相互作用蛋白。使用质谱或液相色谱 - 质谱联用技术对多种癌细胞类型进行转录组学、蛋白质组学和代谢组学分析,以进一步探究潜在机制。在这些肿瘤细胞中,通过蛋白质 - 蛋白质对接分析常见的LASS2相互作用伴侣转铁蛋白受体(TFRC),并通过免疫共沉淀western blot、免疫荧光和邻近连接分析进行验证。然后,我们进行实验,用Fer - 1或erastin处理肿瘤细胞或不处理,有无诱导LASS2过表达,并通过相应分析评估分子生物学和细胞功能。
甲状腺癌、乳腺癌或肝癌患者中,LASS2低表达与不良临床特征及预后不良相关。多组学分析揭示了铁死亡信号通路、铁离子转运和铁稳态的显著变化。我们的体外实验表明,LASS2过表达通过影响铁稳态调节这些肿瘤细胞中的铁死亡状态,进而抑制肿瘤迁移、侵袭和上皮 - 间质转化。此外,LASS2过表达逆转了由Fer - 1或erastin诱导的肿瘤细胞转移变化。机制上,LASS2直接与TFRC相互作用以调节这些肿瘤细胞中的铁稳态。
总之,我们的研究首次揭示LASS2可通过与TFRC相互作用调节铁代谢并影响甲状腺癌、乳腺癌和肝癌细胞中的铁死亡状态来抑制肿瘤细胞转移,这些结果提示了治疗这些癌症的潜在通用治疗靶点。