Suppr超能文献

由超级增强子控制影响成熟B细胞淋巴瘤中的细胞存活及表达。

controlled by super-enhancer affects cell survival and expression in mature B-cell lymphoma.

作者信息

Hosoi Hiroki, Tabata Shotaro, Kosako Hideki, Hori Yoshikazu, Okamura Tadashi, Yamashita Yusuke, Fujimoto Kota, Kajioka Daiki, Suzuki Kentaro, Osato Motomi, Yamada Gen, Sonoki Takashi

机构信息

Department of Hematology/Oncology, Wakayama Medical University, Wakayama, Japan.

Department of Developmental Genetics, Institute of Advanced Medicine, Wakayama Medical University, Wakayama, Japan.

出版信息

Leuk Res Rep. 2024 Feb 22;21:100451. doi: 10.1016/j.lrr.2024.100451. eCollection 2024.

Abstract

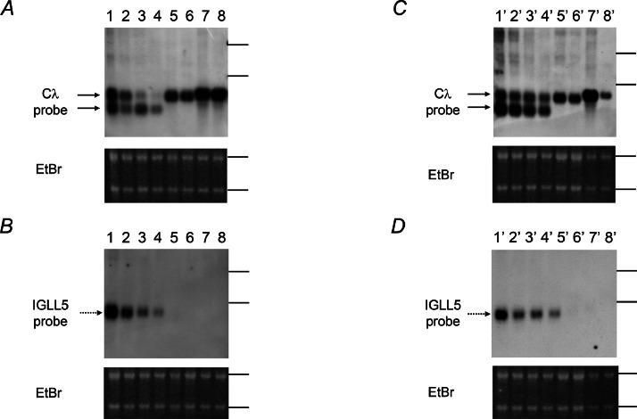
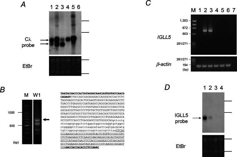
is shown to be located near super-enhancer (SE) in B-cell tumors, and this gene is frequently mutated and a target of translocation in B-cell tumors. These results suggest roles of the in tumorigenesis; however, its functional properties have been unclear. We found that two mature B-cell lymphoma cell lines expressed mRNA with segment. JQ1 treatment resulted in down-expression of , indicating that is controlled by SE. knockdown induced cell death with down-expression of . Our results suggested that might have a role in survival of mature B-cell tumors and involvement in expression. (100 words).

摘要

研究表明其位于B细胞肿瘤的超级增强子(SE)附近,该基因在B细胞肿瘤中频繁发生突变且是易位靶点。这些结果提示了其在肿瘤发生中的作用;然而,其功能特性尚不清楚。我们发现两个成熟B细胞淋巴瘤细胞系表达含特定片段的mRNA。JQ1处理导致其表达下调,表明它受SE调控。敲低它会导致细胞死亡并伴有其表达下调。我们的结果提示它可能在成熟B细胞肿瘤存活及相关表达中起作用。

https://cdn.ncbi.nlm.nih.gov/pmc/blobs/9aeb/10912717/1b49710dd42b/gr1.jpg

文献AI研究员

20分钟写一篇综述,助力文献阅读效率提升50倍。

立即体验

用中文搜PubMed

大模型驱动的PubMed中文搜索引擎

马上搜索

文档翻译

学术文献翻译模型,支持多种主流文档格式。

立即体验