Suppr超能文献

Successful surgical management of a suspected high-flow inferior mesenteric artery aneurysm in a patient with chronic celiac and superior mesenteric artery occlusions.

作者信息

Dreksler Hannah, Nagpal Sudhir K, Hajjar George, Roberts Derek J

机构信息

Division of Vascular and Endovascular Surgery, Department of Surgery, University of Ottawa, Ottawa, ON, Canada.

Clinical Epidemiology Program, The Ottawa Hospital Research Institute, The Ottawa Hospital, Ottawa, ON, Canada.

出版信息

J Vasc Surg Cases Innov Tech. 2024 Jan 30;10(2):101438. doi: 10.1016/j.jvscit.2024.101438. eCollection 2024 Apr.

Abstract

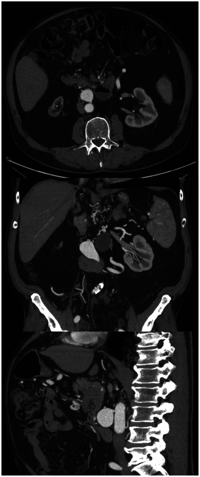
Inferior mesenteric artery (IMA) aneurysms account for approximately 1% of visceral artery aneurysms and can occur secondary to high flow because of occlusive disease in other mesenteric arteries. We describe the case of a 79-year-old man who presented with a 3.3-cm IMA aneurysm and chronic total occlusions of the celiac artery and superior mesenteric artery (SMA). After an unsuccessful attempt at endovascular SMA recanalization, he underwent an uncomplicated retrograde aorta to SMA bypass and antegrade aorta to IMA bypass. We propose that an aorta to IMA bypass after SMA revascularization is safe and effective to treat suspected high-flow IMA aneurysms.

摘要
https://cdn.ncbi.nlm.nih.gov/pmc/blobs/ecb2/10912906/a9ac4890c826/gr1.jpg

文献AI研究员

20分钟写一篇综述,助力文献阅读效率提升50倍。

立即体验

用中文搜PubMed

大模型驱动的PubMed中文搜索引擎

马上搜索

文档翻译

学术文献翻译模型,支持多种主流文档格式。

立即体验