Suppr超能文献

疟原虫红内期感染通过宿主诱导的干扰素而非铁调素抑制肝期感染。

Malaria blood stage infection suppresses liver stage infection via host-induced interferons but not hepcidin.

机构信息

Center for Global Infectious Disease Research, Seattle Children's Research Institute, Seattle, WA, USA.

Department of Pediatrics, University of Washington, Seattle, WA, USA.

出版信息

Nat Commun. 2024 Mar 7;15(1):2104. doi: 10.1038/s41467-024-46270-3.

Abstract

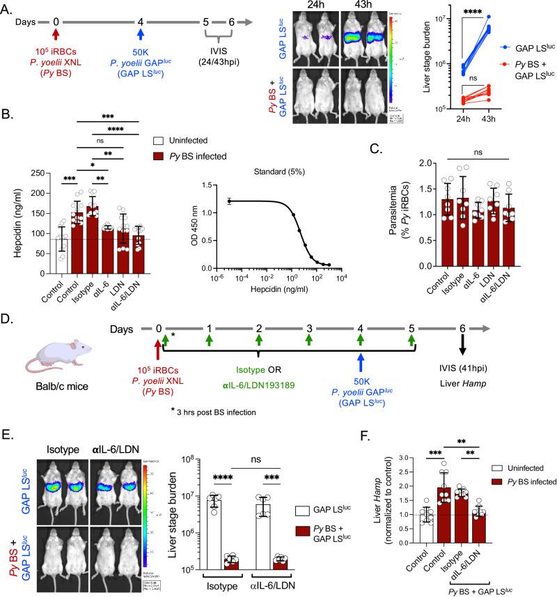
Malaria-causing Plasmodium parasites first replicate as liver stages (LS), which then seed symptomatic blood stage (BS) infection. Emerging evidence suggests that these stages impact each other via perturbation of host responses, and this influences the outcome of natural infection. We sought to understand whether the parasite stage interplay would affect live-attenuated whole parasite vaccination, since the efficacy of whole parasite vaccines strongly correlates with their extend of development in the liver. We thus investigated the impact of BS infection on LS development of genetically attenuated and wildtype parasites in female rodent malaria models and observed that for both, LS infection suffered severe suppression during concurrent BS infection. Strikingly and in contrast to previously published studies, we find that the BS-induced iron-regulating hormone hepcidin is not mediating suppression of LS development. Instead, we demonstrate that BS-induced host interferons are the main mediators of LS developmental suppression. The type of interferon involved depended on the BS-causing parasite species. Our study provides important mechanistic insights into the BS-mediated suppression of LS development. This has direct implications for understanding the outcomes of live-attenuated Plasmodium parasite vaccination in malaria-endemic areas and might impact the epidemiology of natural malaria infection.

摘要

疟原虫引起的寄生虫首先在肝脏阶段(LS)复制,然后在有症状的血液阶段(BS)感染。新出现的证据表明,这些阶段通过宿主反应的扰动相互影响,这影响了自然感染的结果。我们试图了解寄生虫阶段的相互作用是否会影响减毒全寄生虫疫苗接种,因为全寄生虫疫苗的功效与其在肝脏中的发育程度密切相关。因此,我们研究了 BS 感染对雌性啮齿动物疟疾模型中遗传减毒和野生型寄生虫 LS 发育的影响,并观察到这两种寄生虫在并发 BS 感染期间 LS 感染受到严重抑制。令人惊讶的是,与之前发表的研究相反,我们发现 BS 诱导的铁调节激素铁调素并不是介导 LS 发育抑制的原因。相反,我们证明 BS 诱导的宿主干扰素是 LS 发育抑制的主要介导者。所涉及的干扰素类型取决于引起 BS 的寄生虫种类。我们的研究为 BS 介导的 LS 发育抑制提供了重要的机制见解。这对理解减毒疟原虫寄生虫疫苗接种在疟疾流行地区的结果具有直接意义,并可能影响自然疟疾感染的流行病学。

https://cdn.ncbi.nlm.nih.gov/pmc/blobs/153f/10920859/e3ed417adcc8/41467_2024_46270_Fig1_HTML.jpg

文献AI研究员

20分钟写一篇综述,助力文献阅读效率提升50倍。

立即体验

用中文搜PubMed

大模型驱动的PubMed中文搜索引擎

马上搜索

文档翻译

学术文献翻译模型,支持多种主流文档格式。

立即体验