Department of Microbiology and Immunology, Indiana University School of Medicine, Indianapolis, IN, USA.
Department of Microbiology and Immunology, Indiana University School of Medicine, Indianapolis, IN, USA.
Mucosal Immunol. 2024 Aug;17(4):537-553. doi: 10.1016/j.mucimm.2024.03.006. Epub 2024 Mar 15.
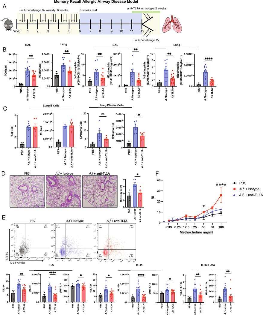
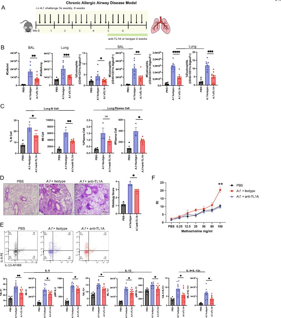
Multi-cytokine-producing Th9 cells secrete IL-9 and type 2 cytokines and mediate mouse and human allergic inflammation. However, the cytokines that promote a multi-cytokine secreting phenotype have not been defined. Tumor necrosis factor superfamily member TL1A signals through its receptor DR3 to increase IL-9. Here we demonstrate that TL1A increases expression of IL-9 and IL-13 co-expressing cells in murine Th9 cell cultures, inducing a multi-cytokine phenotype. Mechanistically, this is linked to histone modifications allowing for increased accessibility at the Il9 and Il13 loci. We further show that TL1A alters the transcription factor network underlying expression of IL-9 and IL-13 in Th9 cells and increases binding of transcription factors to Il9 and Il13 loci. TL1A-priming enhances the pathogenicity of Th9 cells in murine models of allergic airway disease through the increased expression of IL-9 and IL-13. Lastly, in both chronic and memory-recall models of allergic airway disease, blockade of TL1A signaling decreases the multi-cytokine Th9 cell population and attenuates the allergic phenotype. Taken together, these data demonstrate that TL1A promotes the development of multi-cytokine Th9 cells that drive allergic airway diseases and that targeting pathogenic T helper cell-promoting cytokines could be an effective approach for modifying disease.
多细胞因子产生 Th9 细胞分泌 IL-9 和 2 型细胞因子,并介导小鼠和人类过敏炎症。然而,促进多细胞因子分泌表型的细胞因子尚未确定。肿瘤坏死因子超家族成员 TL1A 通过其受体 DR3 信号传导以增加 IL-9。在这里,我们证明 TL1A 增加了小鼠 Th9 细胞培养物中表达 IL-9 和 IL-13 的细胞的表达,诱导多细胞因子表型。从机制上讲,这与组蛋白修饰有关,可增加 Il9 和 Il13 基因座的可及性。我们进一步表明,TL1A 改变了 Th9 细胞中 IL-9 和 IL-13 表达的转录因子网络,并增加了转录因子与 Il9 和 Il13 基因座的结合。TL1A 引发通过增加 IL-9 和 IL-13 的表达,增强了 Th9 细胞在过敏性气道疾病小鼠模型中的致病性。最后,在过敏性气道疾病的慢性和记忆性回忆模型中,TL1A 信号通路的阻断减少了多细胞因子 Th9 细胞群,并减轻了过敏表型。总之,这些数据表明 TL1A 促进了驱动过敏性气道疾病的多细胞因子 Th9 细胞的发展,而针对致病性辅助性 T 细胞促进细胞因子可能是修饰疾病的有效方法。