Suppr超能文献

一名以男性乳房发育为表现的肺癌患者:一种罕见的副肿瘤综合征。

A Lung Cancer Patient Presenting With Gynecomastia: An Uncommon Paraneoplastic Syndrome.

作者信息

Sanjan Ganesh, Banerjee Saikat, Dua Ruchi, Sharma Prakhar

机构信息

Department of Pulmonary, Critical Care and Sleep Medicine, All India Institute of Medical Sciences, Rishikesh, Rishikesh, IND.

出版信息

Cureus. 2024 Feb 23;16(2):e54758. doi: 10.7759/cureus.54758. eCollection 2024 Feb.

Abstract

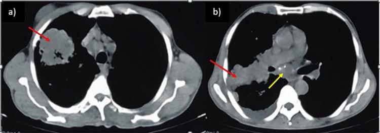
Lung cancer is the most common neoplastic disorder associated with paraneoplastic syndromes. The most common paraneoplastic syndromes are the syndrome of inappropriate release of antidiuretic hormone (SIADH), hypercalcemia of malignancy, ectopic Cushing's syndrome, and various other neurological syndromes. A few case reports have reported gynecomastia as a paraneoplastic syndrome. Recognition of this uncommon presentation can aid in the early detection of associated malignancies, thus potentially improving outcomes. In this article, we are presenting the case of a male patient in his late sixties who, on presentation, had gynecomastia and was eventually diagnosed with non-small-cell lung cancer (NSCLC).

摘要

肺癌是与副肿瘤综合征相关的最常见的肿瘤性疾病。最常见的副肿瘤综合征是抗利尿激素分泌不当综合征(SIADH)、恶性肿瘤高钙血症、异位库欣综合征以及各种其他神经综合征。有少数病例报告将男性乳房发育作为一种副肿瘤综合征。认识到这种不常见的表现有助于早期发现相关恶性肿瘤,从而有可能改善预后。在本文中,我们报告了一例60多岁晚期男性患者的病例,该患者就诊时患有男性乳房发育,最终被诊断为非小细胞肺癌(NSCLC)。

https://cdn.ncbi.nlm.nih.gov/pmc/blobs/9066/10961055/531d4f64a294/cureus-0016-00000054758-i01.jpg

文献AI研究员

20分钟写一篇综述,助力文献阅读效率提升50倍。

立即体验

用中文搜PubMed

大模型驱动的PubMed中文搜索引擎

马上搜索

文档翻译

学术文献翻译模型,支持多种主流文档格式。

立即体验